
Rolul corticosteroizilor în tratamentul tumorilor cerebrale În practica neurochirurgicală și neuro-oncologică, există puține tratamente care pot modifica atât de...

Rolul corticosteroizilor în tratamentul tumorilor cerebrale În practica neurochirurgicală și neuro-oncologică, există puține tratamente care pot modifica atât de...

Meduloblastomul la adult Meduloblastomul este o tumoră malignă a sistemului nervos central, cunoscută mai ales ca fiind tipică copilăriei....

🧠 Care sunt factorii reali de risc pentru tumorile cerebrale? Ce știm sigur și ce NU știm încă Majoritatea...

Când o tumoră este aproape de circuitele limbajului, chirurgia trebuie să protejeze nu doar creierul, ci și persoana ...

Genetica glioamelor – de la biologie moleculară la decizie terapeutică Introducere Glioamele reprezintă un grup heterogen de tumori primare...

📈 A crescut incidența tumorilor cerebrale? Mituri și realitate Mulți pacienți au impresia că tumorile cerebrale apar tot mai...

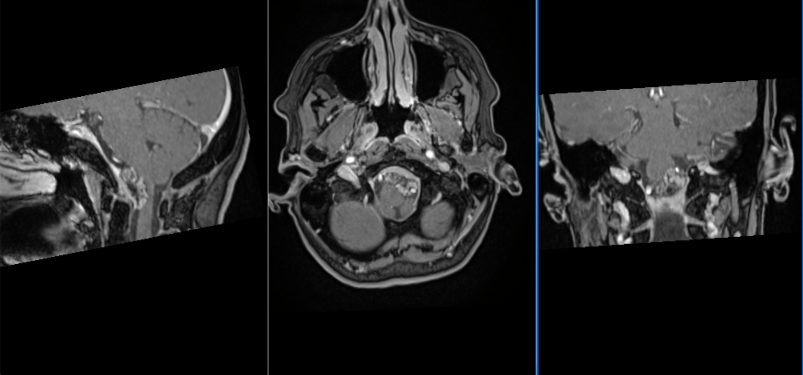
Când forța din mână începe să dispară – un meningiom spinal C7–T1 Uneori, boala nu începe cu durere,...

Prezentare de caz – o poveste despre speranță și perseverență Uneori, o tumoră cerebrală nu începe cu...

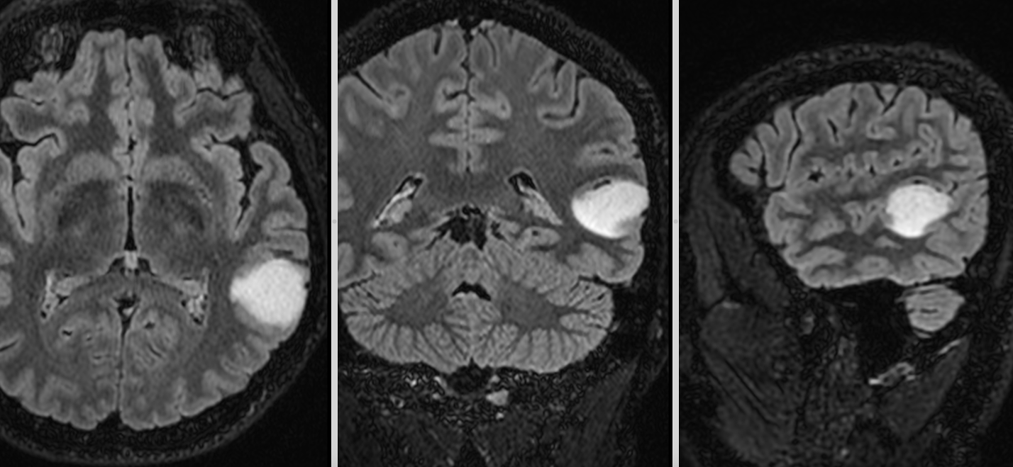
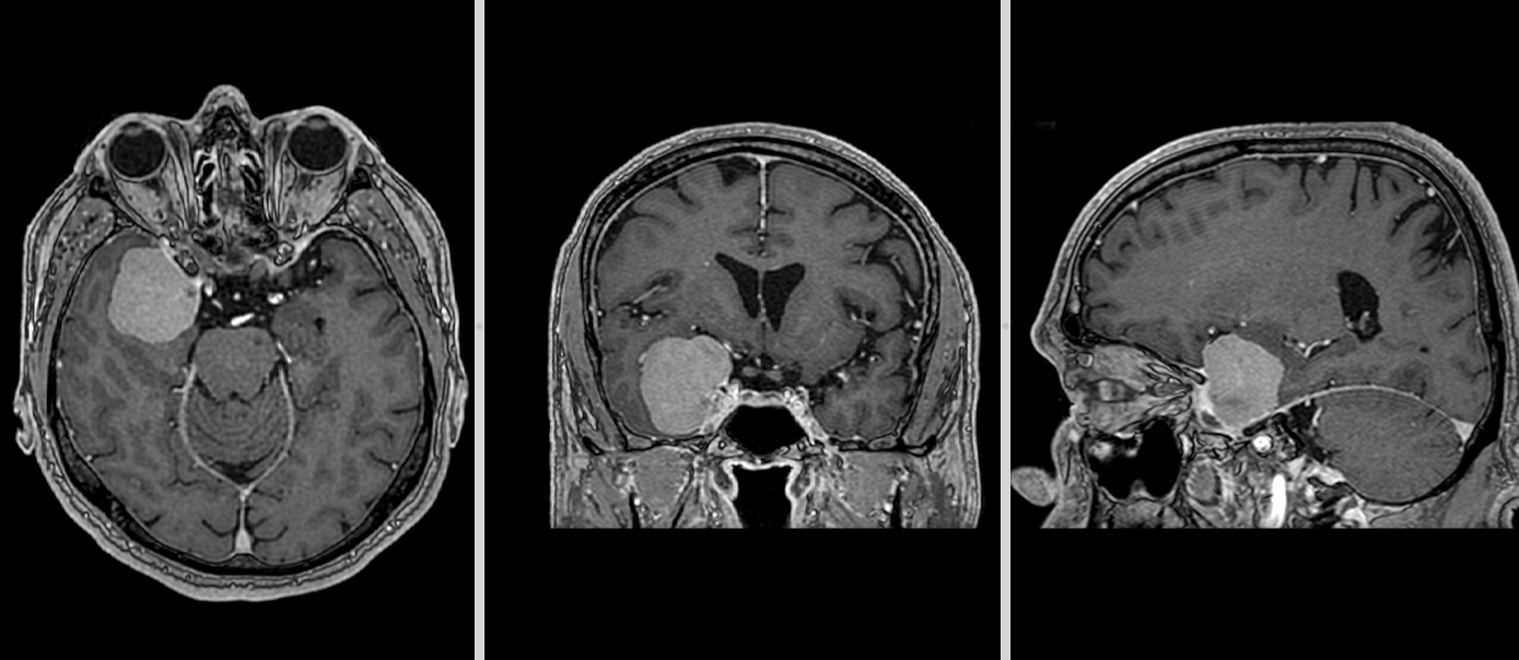
Vă prezentăm cazul unui pacient diagnosticat cu meningiom de aripă de sfenoid dreaptă, o tumoră cerebrală benignă care se dezvoltă...
Ai primi un diagnostic de tumoară cerebrală? Aici găsești sprijinul, informațiile și direcția de care ai nevoie.
© 2026 Creat de DIGITALLAND.RO