Ce sunt metastazele cerebrale?
Metastazele cerebrale reprezintă cele mai frecvente tumori maligne ale sistemului nervos central. Acestea nu apar din creierul propriu-zis, ci sunt rezultatul diseminării unor celule canceroase de la un alt organ afectat de cancer (cum ar fi plămânul, sânul, rinichiul, melanomul sau colonul). Celulele canceroase migrează prin sânge, se opresc la nivelul creierului și încep să formeze tumori secundare.

Frecvență și incidență
Se estimează că între 10% și 30% dintre pacienții cu cancer dezvolta metastaze cerebrale în cursul evoluției bolii. În realitate, această cifră ar putea fi chiar mai mare, deoarece unele metastaze sunt descoperite doar post-mortem. Datorită progreselor în tratamentele oncologice, pacienții trăiesc mai mult, iar riscul de a dezvolta metastaze cerebrale crește.
Tumorile primare care dau cel mai frecvent metastaze cerebrale
- Cancerul pulmonar (în special cel cu celule mici și adenocarcinomul)
- Cancerul de sân
- Melanomul malign
- Cancerul renal
- Cancerul colorectal
Mecanismul apariției metastazelor
Celulele canceroase se desprind din tumora primară, pătrund în vasele de sânge și călătoresc spre creier. Acolo, ele trec de bariera hemato-encefalică – o structură protectoare care apără creierul de substanțe toxice – și încep să se multiplice. De cele mai multe ori, metastazele apar în zona joncțiunii dintre substanța albă și cea cenușie, unde fluxul sanguin este bogat și viteza de circulație este mai redusă.

Localizare preferențială
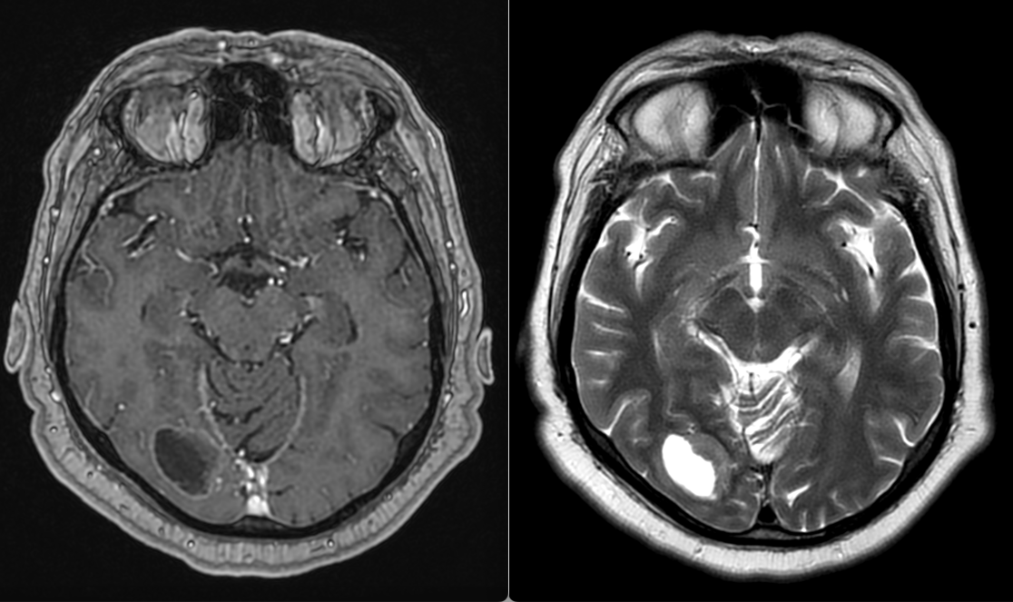
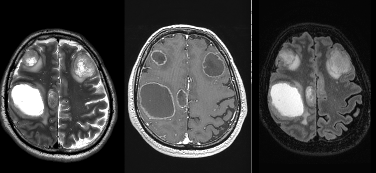
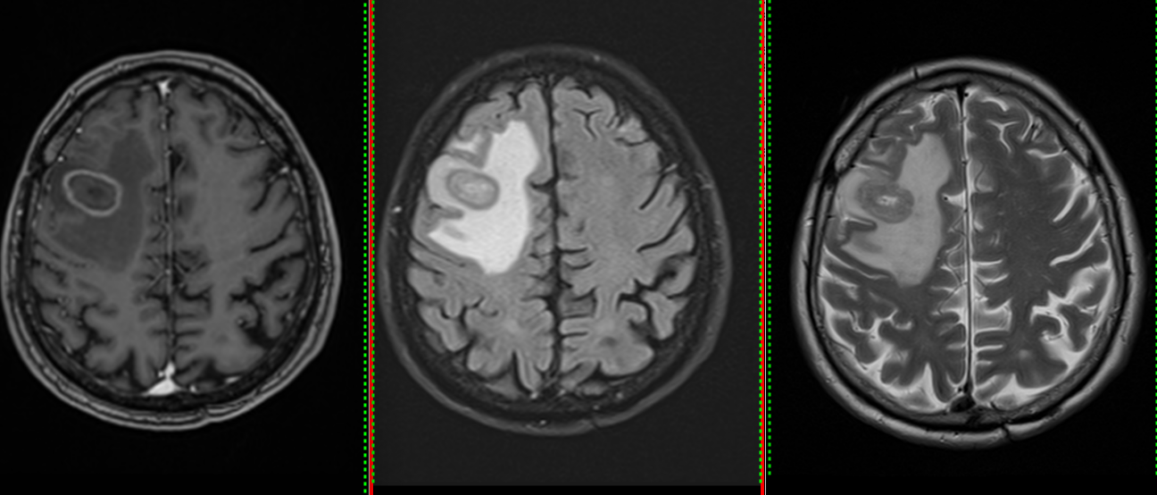
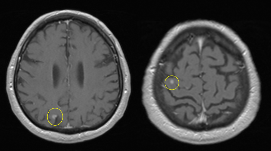
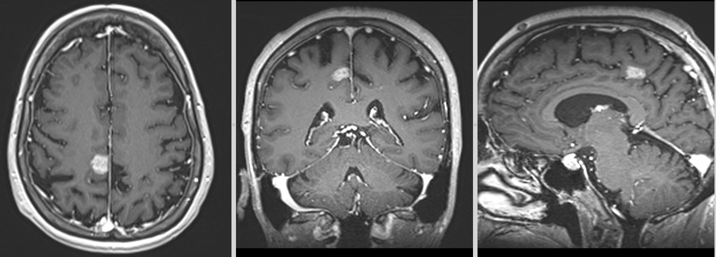
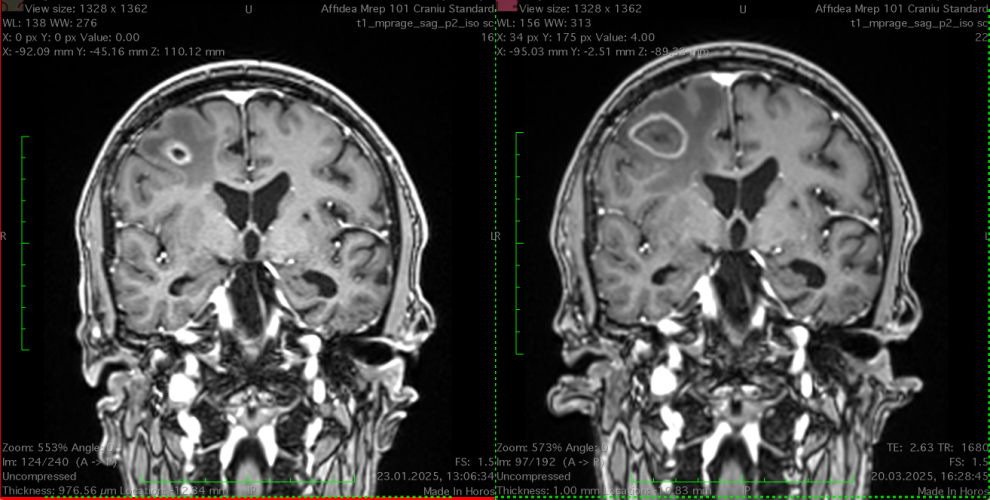
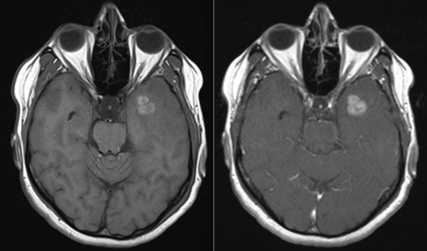
Metastazele cerebrale apar frecvent în emisferele cerebrale (80%), mai rar la nivelul cerebelului (15%) sau trunchiului cerebral (5%). Localizarea influențează simptomele și posibilitățile de tratament.
Unele neoplasme (cancerul mamar îndeosebi) pot determina metastaze meningeale – la nivelul durei mater sau chiar la nivelul piei mater – metastaze leptomeningeale. Tot cancerul de sân poate adesea determina metastaze osoase – craniene, care se pot extinde la nivelul meningelui (metastaze cranio-durale) sau chiar cerebral (metastaze cranio-duro-cerebrale).

Semne și simptome
Manifestările variază în funcție de localizarea și dimensiunea metastazelor, dar și de numărul acestora. Cele mai frecvente simptome sunt:
- Cefalee persistentă, mai ales dimineața
- Greață și vărsături (fără legătură cu alimentația)
- Crize epileptice (la un pacient fără antecedente)
- Tulburări de vedere, vorbire, mers sau coordonare
- Slăbiciune musculară sau amorțeli pe o parte a corpului
- Tulburări cognitive – confuzie, pierderi de memorie, modificări de comportament
- Semne de hipertensiune intracraniană, în caz de mase voluminoase sau edem cerebral important

Diagnosticul
Diagnosticul metastazelor cerebrale se bazează pe:
- Imagistică cerebrală: RMN-ul cu substanță de contrast este metoda de elecție, dar și CT-ul poate fi util.
- PET-CT: poate identifica focarul tumoral primar dacă acesta nu este cunoscut.
- Biopsie cerebrală: rar necesară, mai ales când nu se cunoaște originea tumorală.
- Analize de sânge și investigații sistemice: pentru localizarea tumorii primare și stadializare.
Diagnosticul diferențial
Se face cu tumori cerebrale primare (glioblastom, astrocitom, etc.), abces cerebral, leucoencefalopatie multifocală progresivă, scleroză multiplă sau accident vascular cerebral.

Tratamentul
Tratamentul metastazelor cerebrale este complex și personalizat în funcție de: numărul de metastaze, localizare, dimensiune, starea generală a pacientului, tipul tumorii primare și alte comorbidități.
Principalele opțiuni terapeutice sunt:
- Tratament medicamentos
- Corticosteroizi (ex. dexametazonă) – reduc edemul cerebral și ameliorează temporar simptomele
- Antiepileptice, dacă pacientul are crize convulsive.
- Chimioterapie – eficiența depinde de tipul cancerului primar și de capacitatea moleculelor de a trece bariera hemato-encefalică (în general destul de scăzută, motiv pentru care chimoterpia nu este deosebit de eficientă)
- Radioterapia
- Radioterapia cerebrală totală – utilizată mai ales în cazurile cu multiple metastaze. Prezintă riscul de deteriorare cognitivă tardivă – la pacienții cu supraviețuire de lungă durată
- Radiochirurgia stereotactică (Gamma Knife, CyberKnife) – recomandată pentru metastaze unice sau puține, bine localizate, cu dimensiuni sub 2 cm.

- Tratamentul chirurgical
- Indicat pentru tumorile de mari dimensiuni, la pacienții relativ tineri, cu stare generală bună și încărcare tumorală redusă la nivelul organismului.
- În mod obișnuit se operează metastaze cerebrale unice, dar în cazuri selecționate se pot aborda metastaze cerebrale multiple – chiar și 4 tumori, în același timp anestezic sau în mai multe etape.
- Scopul operației este reducerea încărcării tumorale, obținerea unui diagnostic histopatologic (când nu există deja) și ameliorarea simptomelor prin reducerea edemului cerebral, a efectului de masă și a hipertensiunii intracraniene.
- Un avantaj major al operației îl reprezintă creșterea semnificativă a eficienței radioterapiei, care poate fi efectuată pe volume mai mici și cu doze mai mari.
- În mod particular metastazele chistice se pretează la intervenție chirurgicală, având un răspuns slab la radioterapie per primam.
- Drenajul ventriculo-peritoneal poate fi necesar la pacienți cu hidrocefalie secundară prezenței metastazelor cerebrale.
- Terapia țintită și imunoterapia
- Utilizată tot mai des în funcție de profilul molecular al tumorii (ex: HER2 în cancerul de sân, mutații EGFR sau ALK în cancerul pulmonar, etc.).

Prognostic
Prognosticul este influențat de:
- Tipul și agresivitatea tumorii primare
- Numărul de metastaze
- Starea generală a pacientului (evaluată prin scoruri precum Karnofsky)
- Răspunsul la tratament
- Vârsta pacientului
Fără tratament, supraviețuirea este de ordinul săptămânilor. Cu tratament, unii pacienți pot trăi luni sau chiar ani, mai ales în cazul unui control bun al bolii sistemice și a metastazelor cerebrale puține. De exemplu, pacienții cu metastază cerebrală unică operată și iradiată pot avea o supraviețuire de peste 1-2 ani. De multe ori, după un tratament corect și complet al metastazelor cerebrale (operație și/sau radioterapie), evoluția pacientului va fi dată de progresia leziunii primare, nu de cea a determinărilor secundare.

Îngrijiri paliative
Pentru pacienții în stadii avansate, la care nu se mai poate interveni eficient, este importantă îngrijirea paliativă: controlul durerii, ameliorarea simptomelor neurologice și suport psihologic.
Considerații psihosociale
Diagnosticul de metastaze cerebrale este extrem de dificil pentru pacient și familie. Pe lângă problemele fizice, apar și tulburări emoționale: anxietate, depresie, frică. Sprijinul psihologic și consilierea sunt esențiale.
Perspective viitoare
Cercetările actuale se concentrează pe:
- Îmbunătățirea penetrabilității medicamentelor prin bariera hematoencefalică
- Noi imunoterapii
- Terapia genică
- Tehnici avansate de imagistică și chirurgie minim invazivă





