Prezentare de caz – o tumoră mică, o provocare mare
Uneori, problemele neurologice apar în viața unor oameni foarte tineri, aflați în plină activitate și cu multe planuri pentru viitor.
Aceasta este povestea unei paciente de numai 28 de ani, care a început să prezinte episoade neobișnuite de pierdere a contactului cu realitatea – crize epileptice de tip crize parțiale complexe, specifice epilepsiei de lob temporal.
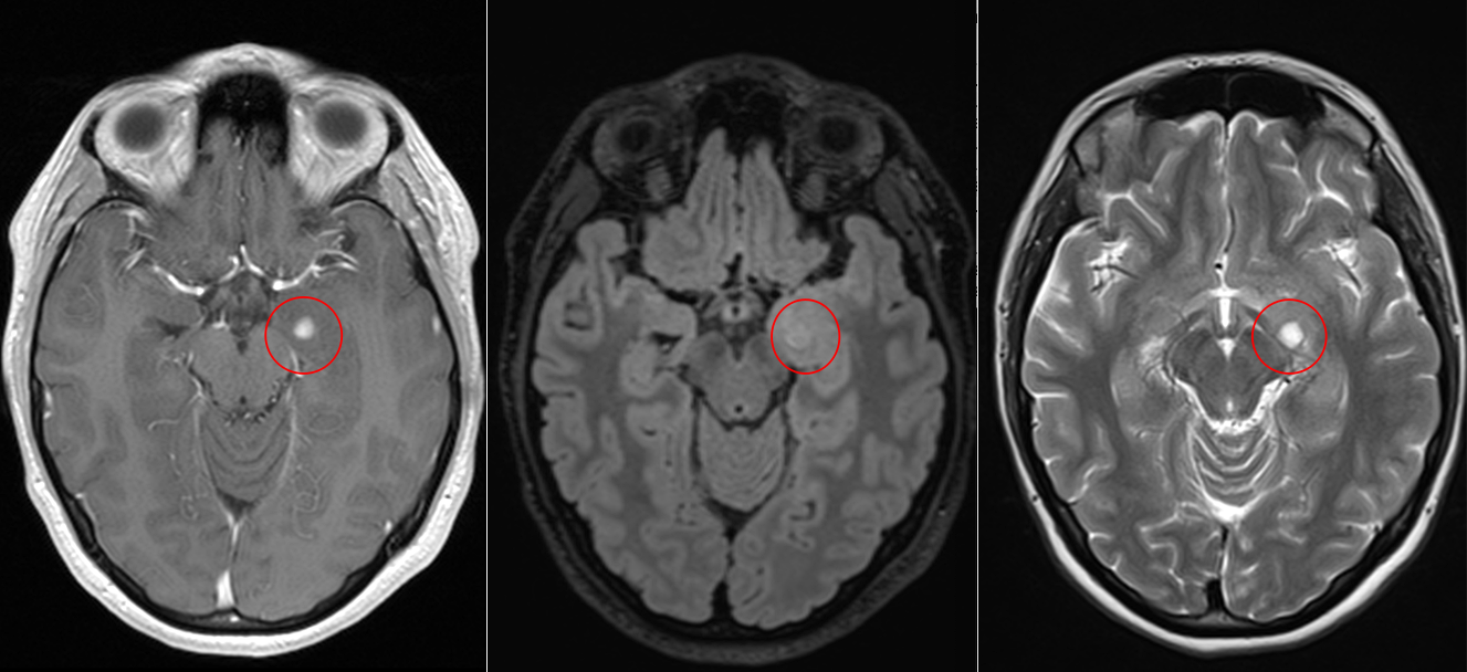
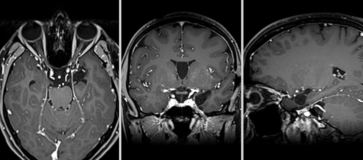
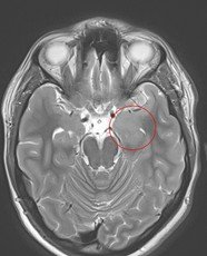
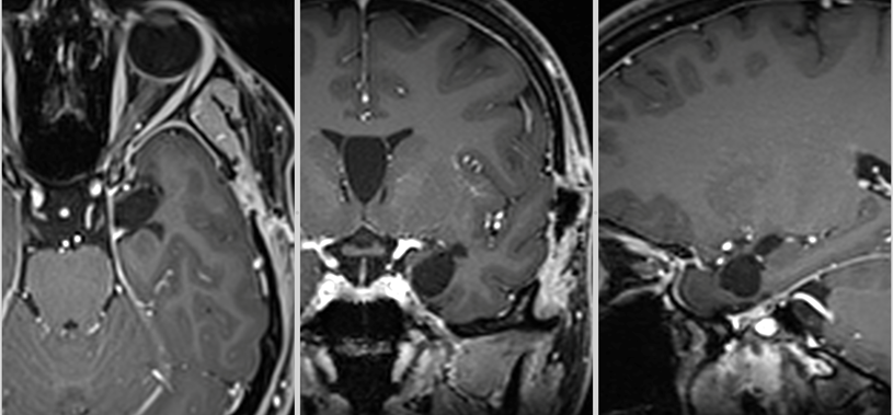
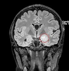
Pentru pacienți, aceste episoade sunt adesea greu de înțeles și pot fi însoțite de teamă și incertitudine. Investigațiile imagistice au adus însă explicația: RMN-ul cerebral a evidențiat o mică tumoră profundă, situată pe fața internă a lobului temporal stâng, la nivelul hipocampului și al nucleului amigdalian.


Deși tumora era relativ mică – aproximativ doi centimetri – localizarea ei era extrem de delicată. Hipocampul este una dintre structurile centrale ale creierului, implicată în memorie și procesarea emoțiilor, iar lobul temporal stâng joacă un rol important în limbaj.
În astfel de situații, provocarea nu este doar îndepărtarea tumorii, ci protejarea funcțiilor neurologice esențiale.
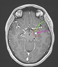
Pentru a ajunge la leziune existau două posibilități chirurgicale: o cale directă prin lobul temporal sau o cale mai complexă, prin fisura sylviană – un coridor natural al creierului.
Prima variantă ar fi presupus traversarea și sacrificarea unei porțiuni de țesut cerebral sănătos. A doua, deși mai laborioasă, oferea șansa de a ajunge la tumoră folosind spațiile naturale dintre structurile creierului.

Din acest motiv a fost ales abordul trans-sylvian, o tehnică microchirurgicală mai dificilă, dar mai delicată cu creierul.
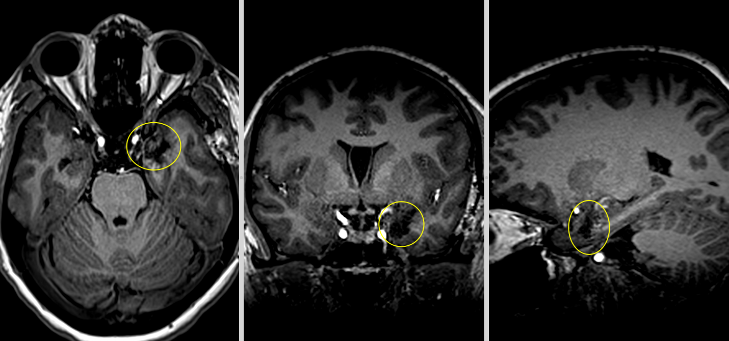
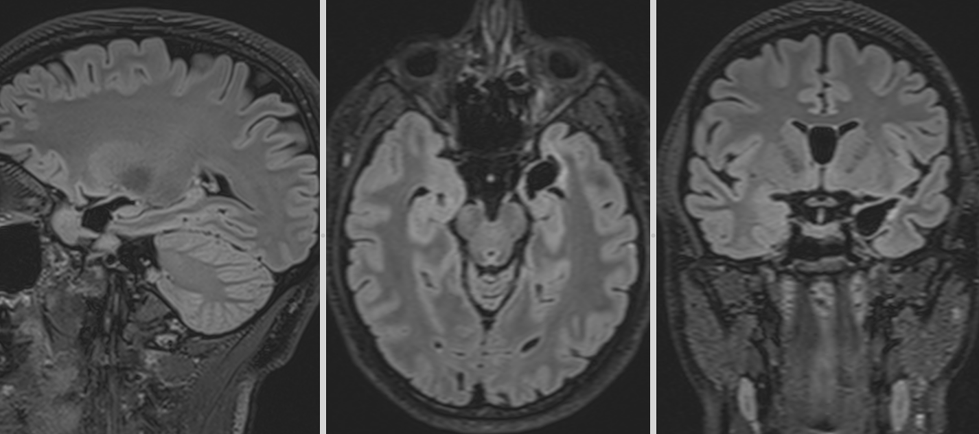
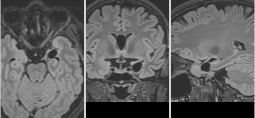
Operația s-a desfășurat în condiții foarte bune, fără incidente, iar tumora a putut fi rezecată complet, fără afectarea structurilor din jur.

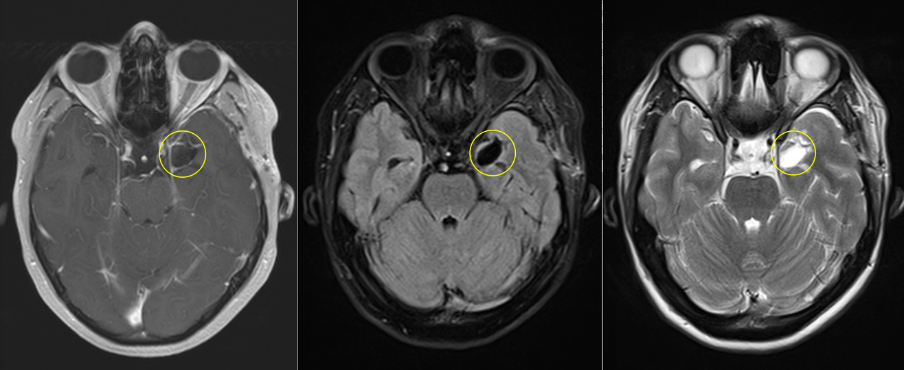
Primele imagini RMN realizate imediat după intervenție au confirmat absența complicațiilor. Câteva săptămâni mai târziu, un nou control imagistic a arătat clar rezultatul: tumora fusese îndepărtată în totalitate.

Din punct de vedere clinic, pacienta s-a recuperat foarte bine și nu a mai prezentat crize epileptice după operație, continuând pentru o perioadă tratamentul antiepileptic sub supraveghere neurologică.
Vestea cea mai bună a venit însă odată cu rezultatul examenului histopatologic: gangliogliom grad I OMS, o tumoră benignă cu prognostic foarte bun, care nu necesită radioterapie sau chimioterapie, ci doar monitorizare periodică.
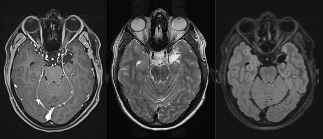
Investigațiile următoare, întâi peste 3 luni apoi peste încă un an au confirmat: nici o urmă de rest sau recidivă tumorală.

La aproape 3 ani de la operație, fără crize epileptice, fără deficite neurologice și cu un RMN curat putem considera că pacienta este vindecată.


Acest caz ne amintește cât de mult a evoluat neurochirurgia modernă.
Astăzi, folosind tehnici microchirurgicale precise și coridoarele naturale ale creierului, este posibilă îndepărtarea unor tumori situate profund, chiar în centrul unor structuri extrem de importante, fără a produce leziuni colaterale.
Pentru pacientă, acest lucru înseamnă mult mai mult decât o intervenție reușită.
Înseamnă revenirea la o viață normală, fără crize epileptice și fără teama unei boli agresive.




