Trimite-ne un mail

Lasă-ne un mesaj!

Edit Template

Astrocitomul anaplazic - grad III OMS

1. Definiție și clasificare

Astrocitomul anaplazic este o tumoră cerebrală malignă, clasificată drept grad III de malignitate conform sistemului Organizației Mondiale a Sănătății (OMS). Face parte din grupul gliomelor, adică al tumorilor gliale, și este derivat din astrocite, celule stelate care susțin neuronii și contribuie la funcționarea normală a creierului.

Astrocitomul anaplazic este considerat o tumoră cu potențial infiltrativ și progresiv, care poate evolua, în lipsa tratamentului, spre glioblastom (grad IV OMS).

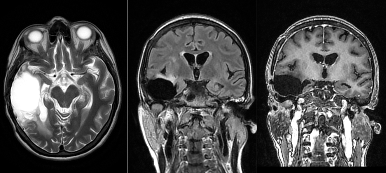
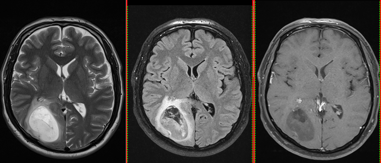
Astrocitom anaplazic grad III temporo-occipital drept

 

2. Epidemiologie

Această tumoră este rară în comparație cu glioblastomul, dar este mai agresivă decât glioamele de grad II.

  • Afectează în special adulții tineri și de vârstă mijlocie (30-60 ani).
  • Este mai frecventă la bărbați decât la femei.
  • Reprezintă circa 10-15% dintre glioamele difuze.

 

3. Localizare

Astrocitoamele anaplazice apar cel mai frecvent în emisferele cerebrale, în special în:

  • Lobii frontali (cel mai frecvent)
  • Lobii temporali
  • Mai rar în trunchiul cerebral sau cerebel

 

4. Histologie și markeri moleculari

Histologic, tumora prezintă:

  • Hipercelularitate (densitate crescută a celulelor)
  • Atipii nucleare (nuclee mari, neregulate)
  • Mitotică crescută (activitate de diviziune celulară vizibilă)
  • Absența necrozei și proliferării vasculare, ceea ce o diferențiază de glioblastom.

 

Markeri moleculari importanți:

  • Mutatia IDH1/IDH2: prezentă în multe cazuri (are valoare prognostică bună).
  • Co-deleția 1p/19q: absentă în astrocitoamele pure, prezentă ăn cazurile de oligodendrogliom anaplazic.
  • ATRX: pierderea expresiei este frecventă.
  • p53: supraexprimat în majoritatea cazurilor.

Conform clasificării OMS 2021, diagnosticul de astrocitom anaplazic (IDH-mutant) este rezervat formelor de grad 3, IDH-mutant, fără caracteristici de glioblastom.

Astrocitom anaplazic parietal drept

 

5. Simptomatologie

Simptomele depind de localizarea tumorii, dar cele mai frecvente sunt:

  • Cefalee persistentă, adesea matinală, cauzată de hipertensiunea intracraniană
  • Crize epileptice (foarte frecvente, mai ales la debut)
  • Tulburări motorii sau senzitive (hemipareză, parestezii)
  • Tulburări de vorbire, în cazul localizărilor în emisfera dominantă
  • Schimbări de comportament sau confuzie (în localizări frontale)

Simptomele se pot instala lent, dar pot și progresa rapid în cazurile mai agresive.

 

6. Diagnosticul

Diagnosticul implică mai multe etape:

a. Imagistică

  • RMN cerebral este metoda de elecție. Tumora apare ca o leziune hipointensă în T1 și hiperintensă în T2/FLAIR, cu captare neregulată de contrast.
  • Constant se observă edem peritumoral și efect de masă.

 

b. Biopsia cerebrală

Este necesară pentru confirmarea diagnosticului histopatologic și efectuarea analizelor moleculare (IDH, ATRX, p53 etc).

 

c. Examinări suplimentare

  • RMN medular în caz de suspiciune de diseminare leptomeningeală
  • Analize de sânge pentru starea generală a pacientului
  • EEG în caz de crize epileptice
Astrocitom anaplazic (grad III) temporal drept – RMN preoperator
 

 

7. Tratamentul

Tratamentul este multimodal, combinând chirurgia, radioterapia și chimioterapia.

a. Chirurgie

  • Rezecția chirurgicală cât mai extinsă este prima etapă. Obiectivul este îndepărtarea maximă a tumorii fără afectarea funcțiilor neurologice.
  • Uneori este imposibilă rezecția completă, mai ales în zone elocvente (motorii, de limbaj).
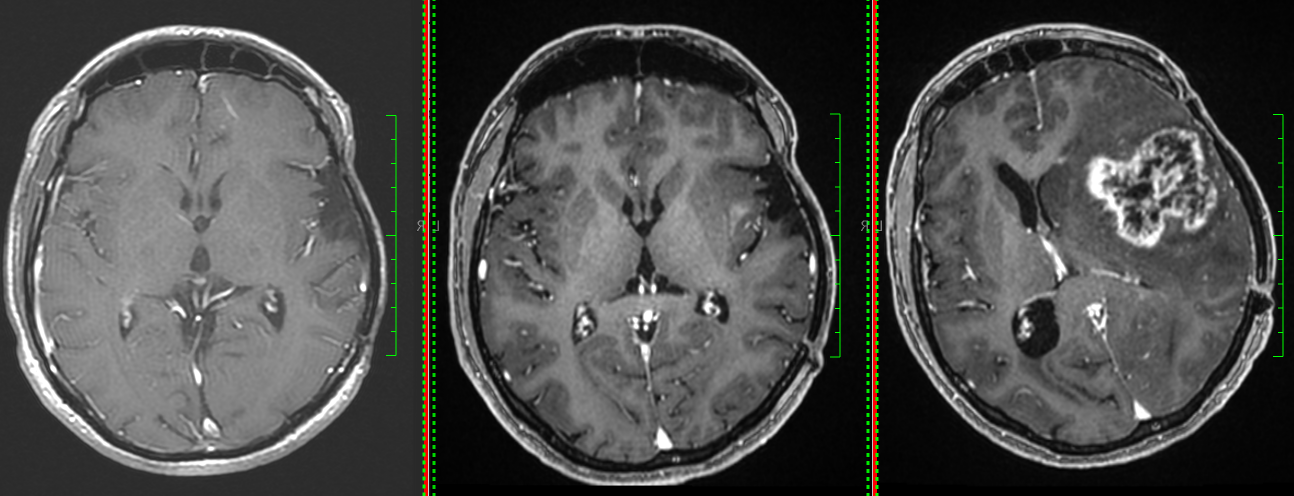
Astrocitom anaplazic (grad III) temporal drept – RMN postoperator

 

b. Radioterapia

  • Urmează după chirurgie.
  • Se administrează fracționat – de regulă, 60 Gy în 30 doze (5 zile pe săptămână, 6 săptămâni)
  • Scopul este distrugerea celulelor tumorale rămase și întârzierea recidivei.

 

c. Chimioterapia

  • Se folosește temozolomida, un agent alchilant, în regim adiuvant post-radioterapie.
  • Alte opțiuni includ combinații de PCV (procarbazină, lomustină, vincristină), în funcție de profilul molecular.

 

d. Monitorizare

  • Se recomandă RMN de control la 3 luni post-tratament și periodic ulterior.

 

8. Prognostic

Prognosticul depinde de mai mulți factori:

Factor

Influență asupra prognosticului

Mutatia IDH prezentă

Prognostic mai bun

Rezecție completă

Risc mai mic de recidivă

Vârsta < 50 ani

Supraviețuire mai mare

Karnofsky > 70

Rezistență mai bună la tratament

Tumori IDH-wildtype

Evoluție nefavorabilă, asemănătoare GBM

Supraviețuirea medie este de 2-5 ani, dar poate fi mai lungă la pacienții tineri, cu mutație IDH și tratament complet.

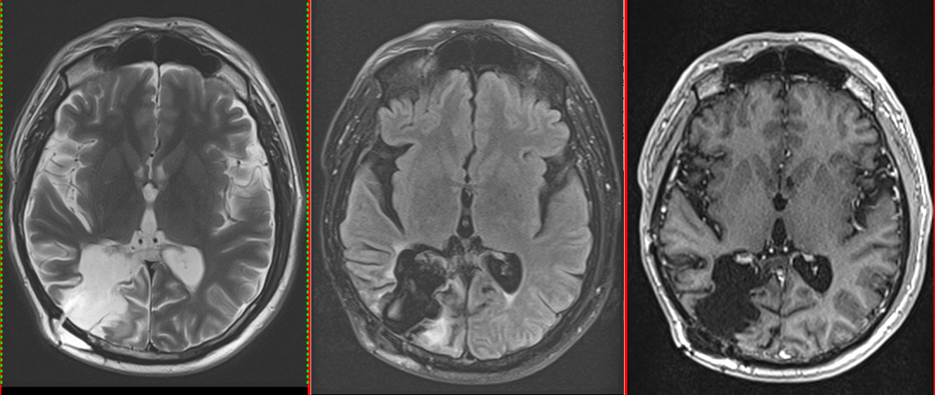
Astrocitom anaplazic grad III temporo-occipital drept – fără recidivă la 8 ani dupa operație

 

9. Diagnostic diferențial

  • Glioblastom (grad IV): are necroză tumorală și proliferare vasculară
  • Astrocitom difuz grad II: fără mitoze și atipii marcate
  • Oligodendrogliom anaplazic: cu codeleție 1p/19q – practic este tot o formă de gliom de grad III. Tratamentul este același dar prognosticul este mai bun.
  • Metastaze cerebrale: multiple, circumscrise, fără infiltrare difuză
  • Limfom cerebral primar: apare mai frecvent la pacienții imunodeprimați (ex – seropozitivi HIV)

 

10. Evoluție și recidivă

Chiar și cu tratament optim, există un risc semnificativ de recidivă locală. În multe cazuri, recidiva se transformă într-un glioblastom secundar. De aceea, monitorizarea atentă este esențială.

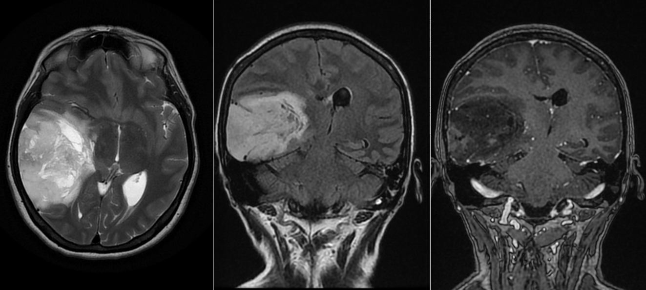
Astrocitom grad III operat – progresie sub tratament

Lasă un mesaj

Adresa ta de email nu va fi publicată. Câmpurile obligatorii sunt marcate cu *

Categoriile principale

Cele mai recente articole

  • All Post
  • Blog
  • Cazuri
  • Glioame
  • Litera A
  • Litera C
  • Litera E
  • Litera G
  • Litera L
  • Litera M
  • Litera N
  • litera P
  • Litera S
  • Tipuri de tumori cerebrale
  • Tumorile cerebrale la copii

Înscrie-te la newsletter

Vrei să fii la curent cu cele mai noi tratamente și articole explicate clar?
Te-ai înscris Ops! Ceva nu a mers bine, reîncearcă te rog.

Ai primi un diagnostic de tumoară cerebrală? Aici găsești sprijinul, informațiile și direcția de care ai nevoie.

Address

Informații utile

Politică cookies

GDPR

Termeni & Condiții

© 2026 Creat de DIGITALLAND.RO