Trimite-ne un mail

Lasă-ne un mesaj!

Edit Template

Glioamele de grad mic

Glioamele de grad mic sunt tumori cerebrale primare care provin din celulele gliale – celulele de susținere ale sistemului nervos central. Aceste tumori sunt considerate de gradul I sau II conform clasificării Organizației Mondiale a Sănătății (OMS), ceea ce înseamnă că au o creștere lentă și un comportament mai puțin agresiv comparativ cu glioamele de grad înalt (gradele III și IV).

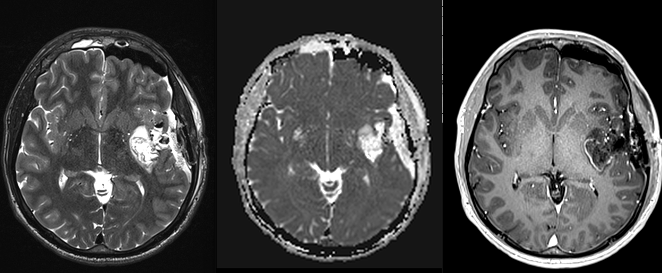
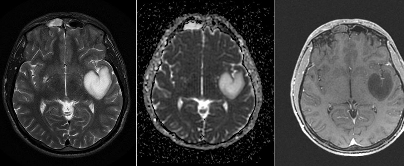
Astrocitom difuz frontal stâng

Clasificare și tipuri

La nivelul țesutului cerebral, celulele gliale sunt dispuse printre neuroni, sunt mult mai multe decât ei și îndeplinesc rolul de suport fizic , electric, imunitar și metabolic pentru aceștia. Există trei tipuri principale de celule gliale:

– Astrocitele – cele mai numeroase, cu două subtipuri: astrocite protoplasmatice și astrocite fibroase

– Oligodendroglii – formează teaca de melanină care izolează fibrele nervoase

– Microgliile – cu rol imunitar

 

Clasificarea glioamelor pornește de la aceste subtipuri celulare:

– Astrocitoamele difuze de grad II – provin din astrocite și au o infiltrare difuză în țesutul cerebral, ceea ce face dificilă îndepărtarea lor completă chirurgical.

– Oligodendrogliomele de grad II – au un comportament mai favorabil și o sensibilitate crescută la tratamentele oncologice.

– Glioamele mixte (oligoastrocitoame) – conțin caracteristici ale ambelor tipuri, astrocitare și oligodendrogliale.

– Astrocitoamele pilocitice de grad I – o subcategorie aparte, sunt frecvent întâlnite la copii și tineri, cu localizări tipice în cerebel, trunchi cerebral sau nervul optic și vor fi discutate în altă parte.

Gliom de grad mic frontal drept - absența prizei de contrast

Epidemiologie

Glioamele de grad mic apar mai frecvent la tineri și adulți sub 40 de ani. Reprezintă aproximativ 10-15% dintre toate tumorile cerebrale gliale. Incidența este ușor mai crescută la bărbați decât la femei.

Cauze și factori de risc

Nu sunt pe deplin cunoscute cauzele exacte ale glioamelor, dar au fost identificați anumiți factori de risc:

– Predispoziția genetică – sindroame ereditare rare precum neurofibromatoza tip 1 sau sindromul Li-Fraumeni.

– Radiațiile ionizante – expunerea la radioterapie cerebrală în copilărie poate crește riscul.

– Factori epigenetici – modificări ale expresiei genelor, fără alterarea structurii ADN-ului.

Tablou clinic

Simptomele glioamelor de grad mic apar gradual, tocmai din cauza creșterii lente a tumorii. Cele mai frecvente manifestări includ:

– Crize epileptice – adesea debutul bolii, mai ales în cazul tumorilor din lobii frontali sau temporali.

– Tulburări cognitive sau de comportament – pot include apatie, dificultăți de concentrare, schimbări de personalitate.

– Cefalee – mai rară decât în cazul tumorilor agresive, apare în special dacă tumora crește în dimensiune și determină hipertensiune intracraniană.

– Deficite neurologice focale – în funcție de localizare: hemipareză, afazie, tulburări de vedere.

 

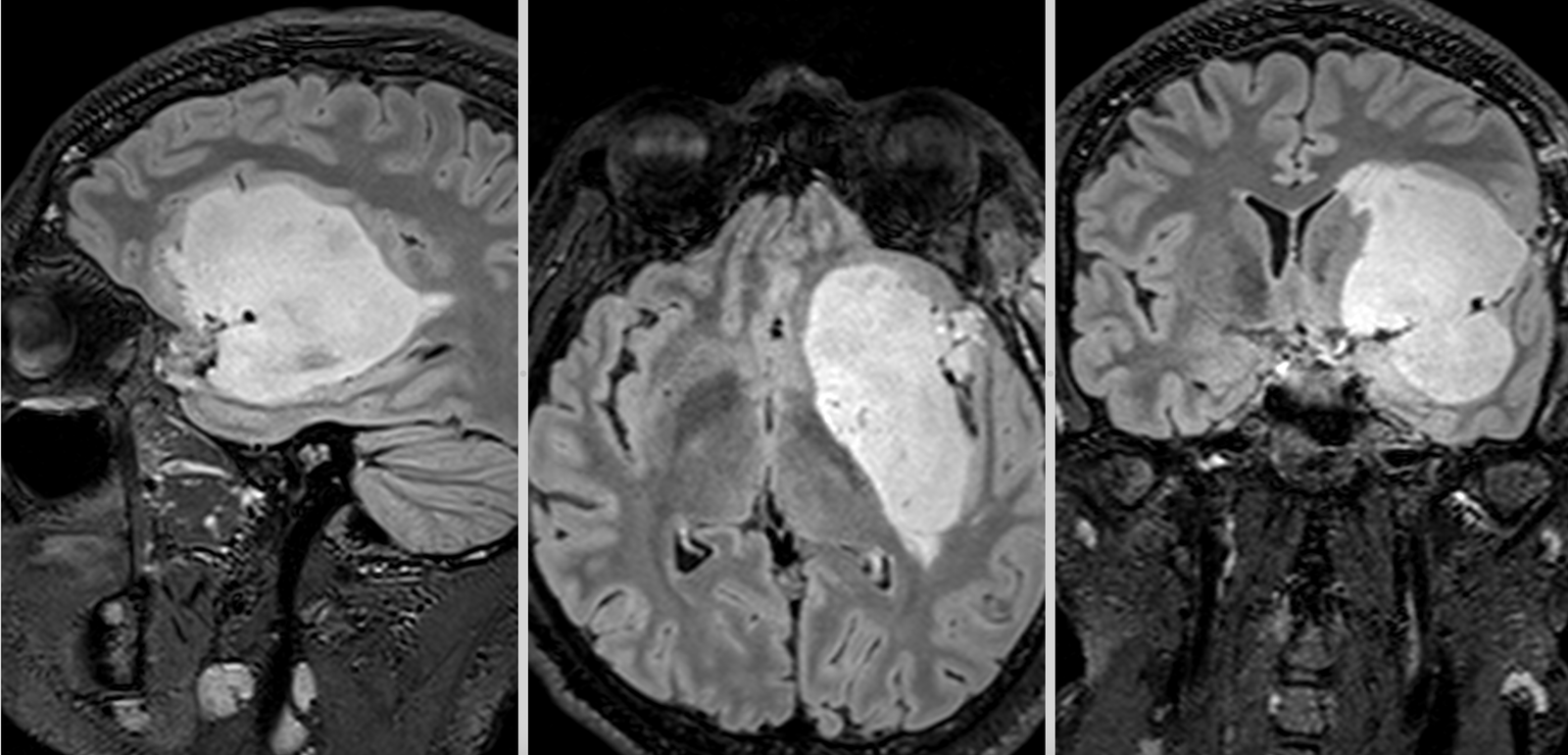
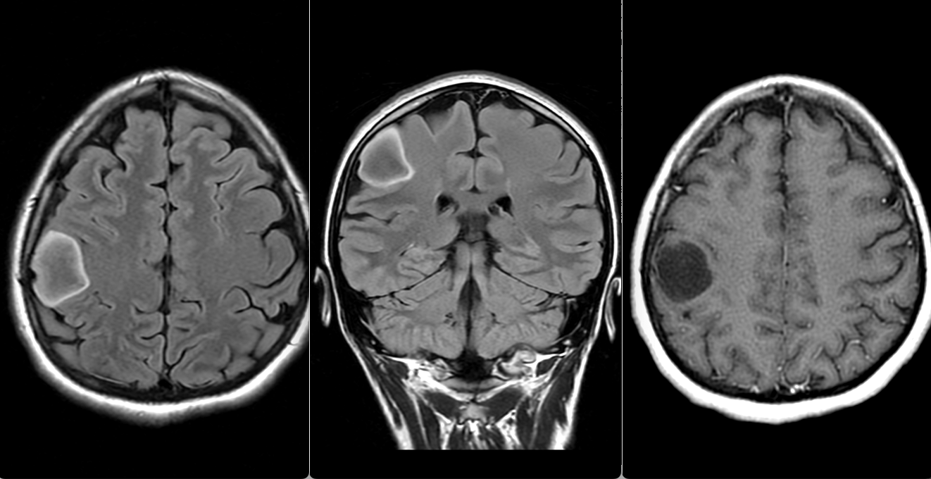
Astrocitom difuz grad II frontal drept

Diagnosticul

Evaluarea pacientului presupune mai multe etape:

 

1. Examen neurologic complet – pentru identificarea semnelor clinice.

 

2. Imagistică cerebrală:

 

RMN cerebral cu contrast – metoda standard pentru caracterizarea glioamelor. Glioamele de grad mic apar ca leziuni hipointense pe T1, hiperintense pe T2, fără captare de contrast. În mod uzual se consideră că dacă un gliom de grad mic are o zonă cu priză de contrast pe RMN el este de grad III – anaplazic (grad înalt).

 

Spectroscopie RMN și perfuzie cerebrală – pot oferi informații suplimentare despre agresivitate.

 

Oligodendrogliom temporal stâng – spectroscopie RMN

 

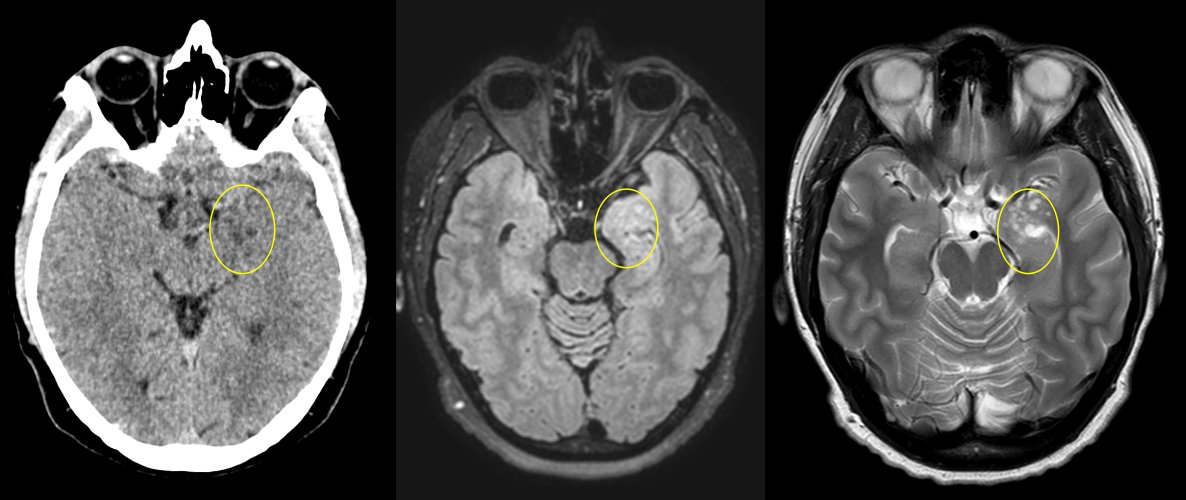
– CT cerebral – util doar ca evaluare inițială; are sensibilitate scăzută și poate trece frecvent cu vederea o tumora de dimensiuni reduse.

 

Gliom de grad mic de hipocamp stâng – comparație CT – RMN

 

3. Biopsia – în unele cazuri este necesară ca etapă de sine stătătoare în managementul unui asemenea pacient, pentru confirmarea diagnosticului histologic.

 

 

4. Analize moleculare – testarea mutației IDH1/IDH2, codeleția 1p/19q sau expresia proteinei ATRX sunt factori esențiali în stabilirea prognosticului.

 

Oligodendrogliom temporal stâng

 

 

 

Tratamentul

Tratamentul glioamelor de grad mic este individualizat și depinde de mai mulți factori: vârsta pacientului, starea generală, dimensiunea și localizarea tumorii, prezența simptomelor și profilul molecular.

 

  • Supravegherea activă – în cazurile asimptomatice, bine delimitate și cu creștere lentă, se poate opta pentru monitorizare cu RMN periodic

 

  • Chirurgia – este opțiunea de bază, cu scop diagnostic și terapeutic. Se încearcă rezecția completă atunci când este posibil, fără afectarea funcțiilor neurologice. Beneficiile sunt multiple: reducerea încărcării tumorale, reducerea compresiunii exercitate de tumoră asupra creierului normal, reducerea hipertensiunii intracraniene (când există), ameliorarea simptomelor – în special crizele epileptice și, nu în ultimul rând, obținerea de material relevant pentru examenul anatomo-patologic și testele genetice.

 

Dezideratul operației este îndepărtarea tumorii fără afectarea neurologică pe termen lung a pacientului și, de aceea, se utilizează în mod curent (sau, mai bine zis, ar trebui utilizată) tehnica „awake surgery”: rezecția tumorii cu pacientul treaz (sub anestezie locală) și testare neurologică intraoperatorie (funcții motorii, limbaj vorbit, scris, citit, calcule, atenție, funcții vizuo-spațiale, cântat, etc), pentru a pune în evidență zonele funcționale ale creierului afectate de tumoră și a le proteja astfel.

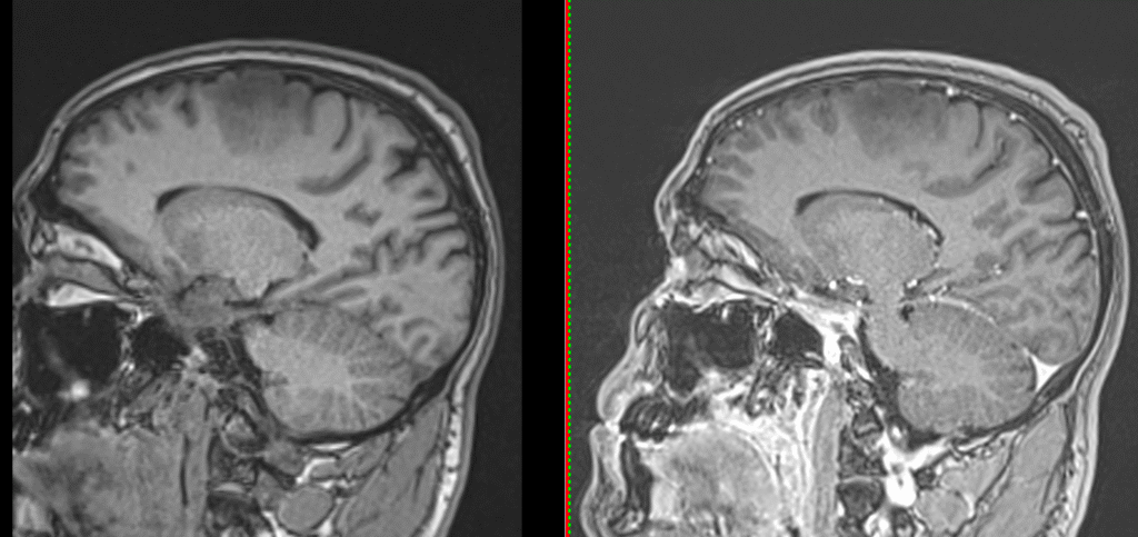
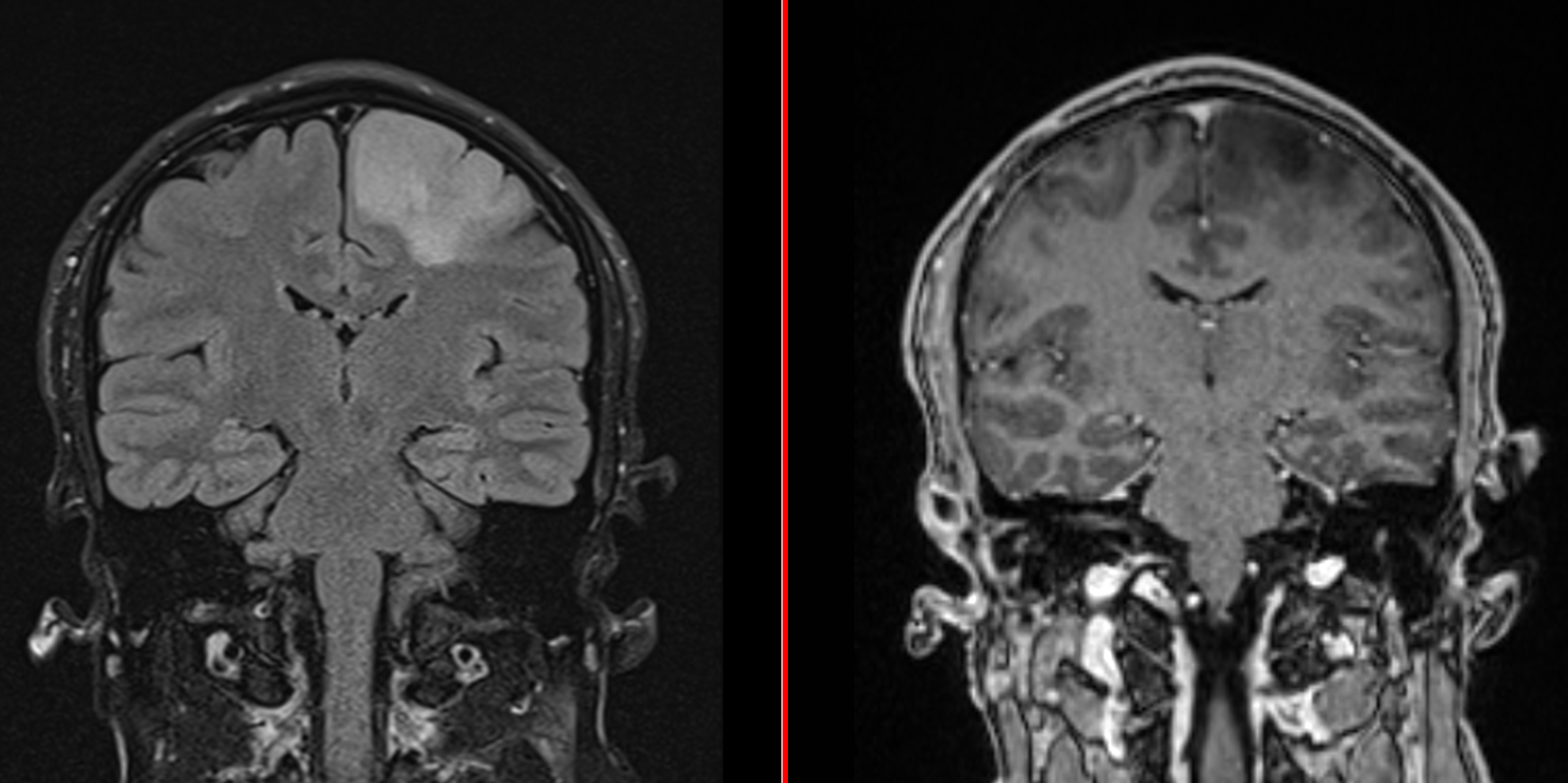
Gliom de grad mic temporo-insular stâng – RMN preoperator

 

  • Supravegherea activă – în cazurile asimptomatice, bine delimitate și cu creștere lentă, se poate opta pentru monitorizare cu RMN periodic.
  • Radioterapia – se recomandă în cazuri simptomatice, tumori reziduale sau recidive.
  • Chimioterapia – agenții alchilanți precum temozolomida sau combinația PCV (procarbazină, lomustină, vincristină) pot fi utilizați în funcție de profilul genetic.
  • Tratamentul epilepsiei asociate – antiepilepticele moderne sunt adesea necesare, mai ales dacă crizele sunt refractare.

 

Gliom de grad mic temporo-insular stâng – RMN postoperator precoce

Prognostic

În general, glioamele de grad mic au un prognostic favorabil comparativ cu cele de grad înalt. Supraviețuirea medie este de 7-10 ani, dar poate depăși 15 ani în cazul tumorilor cu profil genetic favorabil (IDH mutat, co-deleția 1p/19q). Factori de prognostic bun includ:

 

* Rezecție chirurgicală completă

* Vârsta tânără la diagnostic

* Prezența mutației IDH

* Lipsa progresiei rapide în timp

 

Cu toate acestea, trebuie menționat că majoritatea glioamelor de grad mic pot evolua în timp spre forme de grad înalt (transformare malignă – ca astrocitom anaplazic, grad III). De fapt, aceasta este evoluția naturală a glioamelor de grad II: creștere în dimensiuni cu acumularea de mutații și transformarea anaplazică în gliom de grad III sau chiar IV. Din acest motiv, rezecția chirurgicală cât mai completă este cea mai bună metodă de a opri progresia bolii.

 

Gliom de grad mic talamic stâng progresie în 4 ani

Suport psihologic și reabilitare

Glioamele de grad mic sunt tumori cerebrale cu comportament lent și cu potențial de control pe termen lung, mai ales atunci când sunt diagnosticate precoce și tratate corespunzător. Progresele în imagistică, chirurgie, biologie moleculară și tratamentele adjuvante au crescut considerabil șansele de supraviețuire și calitatea vieții pentru acești pacienți. Totuși, vigilența medicală și urmărirea pe termen lung rămân esențiale pentru a identifica eventualele semne de progresie.

Concluzie

 

Având în vedere vârsta frecvent tânără a pacienților, diagnosticul de glioam poate avea un impact major emoțional și social. Este important sprijinul psihologic, integrarea socială și programele de reabilitare neurologică. Sprijinul familiei și al unei echipe multidisciplinare este esențial pentru o calitate a vieții cât mai bună.

Gliom de grad mic temporo-insular stâng

Lasă un mesaj

Adresa ta de email nu va fi publicată. Câmpurile obligatorii sunt marcate cu *

Categoriile principale

Cele mai recente articole

  • All Post
  • Blog
  • Cazuri
  • Glioame
  • Litera A
  • Litera C
  • Litera E
  • Litera G
  • Litera L
  • Litera M
  • Litera N
  • litera P
  • Litera S
  • Tipuri de tumori cerebrale
  • Tumorile cerebrale la copii

Înscrie-te la newsletter

Vrei să fii la curent cu cele mai noi tratamente și articole explicate clar?
Te-ai înscris Ops! Ceva nu a mers bine, reîncearcă te rog.

Ai primi un diagnostic de tumoară cerebrală? Aici găsești sprijinul, informațiile și direcția de care ai nevoie.

Address

Informații utile

Politică cookies

GDPR

Termeni & Condiții

© 2026 Creat de DIGITALLAND.RO