Definiție și caracteristici generale
Chistele arahnoidiene sunt formațiuni benigne, pline cu lichid cefalorahidian (LCR), situate între foile membranei arahnoidiene, una dintre cele trei meninge care învelesc creierul și măduva spinării. Aceste chiste pot fi congenitale (prezente de la naștere) sau dobândite (rareori, în urma traumatismelor, infecțiilor sau intervențiilor chirurgicale).
Ele sunt denumite și chiste leptomeningeale și reprezintă aproximativ 1% dintre toate leziunile intracraniene. Sunt adesea descoperite întâmplător în urma efectuării unor investigații imagistice pentru alte afecțiuni, deoarece în multe cazuri sunt asimptomatice.

Etiologie
Chistele congenitale se dezvoltă ca urmare a unei malformații în timpul embriogenezei, în care apare o duplicare sau separare a membranei arahnoidiene.
Chistele dobândite, mai rare, pot apărea în urma:
- traumelor craniene,
- infecțiilor sistemului nervos central (meningite),
- intervențiilor neurochirurgicale.
Localizare
Chistele arahnoidiene pot fi localizate în mai multe regiuni ale sistemului nervos central. Cele mai frecvente locații includ:
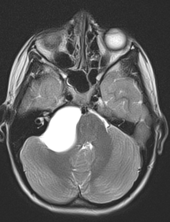
- fosa mediană temporală (zona Sylviană) – cel mai frecvent tip,
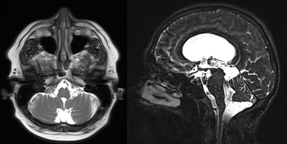
- fosa posterioară (lângă cerebel),
- regiunea supraselară,
- regiunea interhemisferică,
- coloană vertebrală (rar, arahnoidită chistică).
Clasificare
Conform sistemului Galassi (pentru chistele de la nivelul fosei medii), acestea se împart în:
- Tip I: mici, comunică cu spațiile subarahnoidiene, de obicei asimptomatice;
- Tip II: mai mari, cu efect de masă ușor și comunicare limitată cu spațiul subarahnoidian;
- Tip III: mari, fără comunicare cu spațiul subarahnoidian, produc efect de masă semnificativ.

Simptome
Majoritatea chistelor arahnoidiene sunt asimptomatice. Totuși, în funcție de dimensiune și localizare, pot apărea:
- cefalee (durere de cap persistentă),
- greață și vărsături,
- crize epileptice,
- întârzieri în dezvoltare (la copii),
- tulburări de echilibru sau coordonare,
- deficit vizual sau auditiv,
- hidrocefalie (prin compresia căilor de drenaj ale LCR),
- semne de presiune intracraniană crescută.
În regiunea spinală, chistele arahnoidiene pot duce la:
- durere lombară sau toracală,
- slăbiciune musculară,
- tulburări senzitive,
- incontinență urinară/fecală (în cazuri severe).
Diagnostic
Imagistica este esențială pentru identificarea chistelor arahnoidiene:
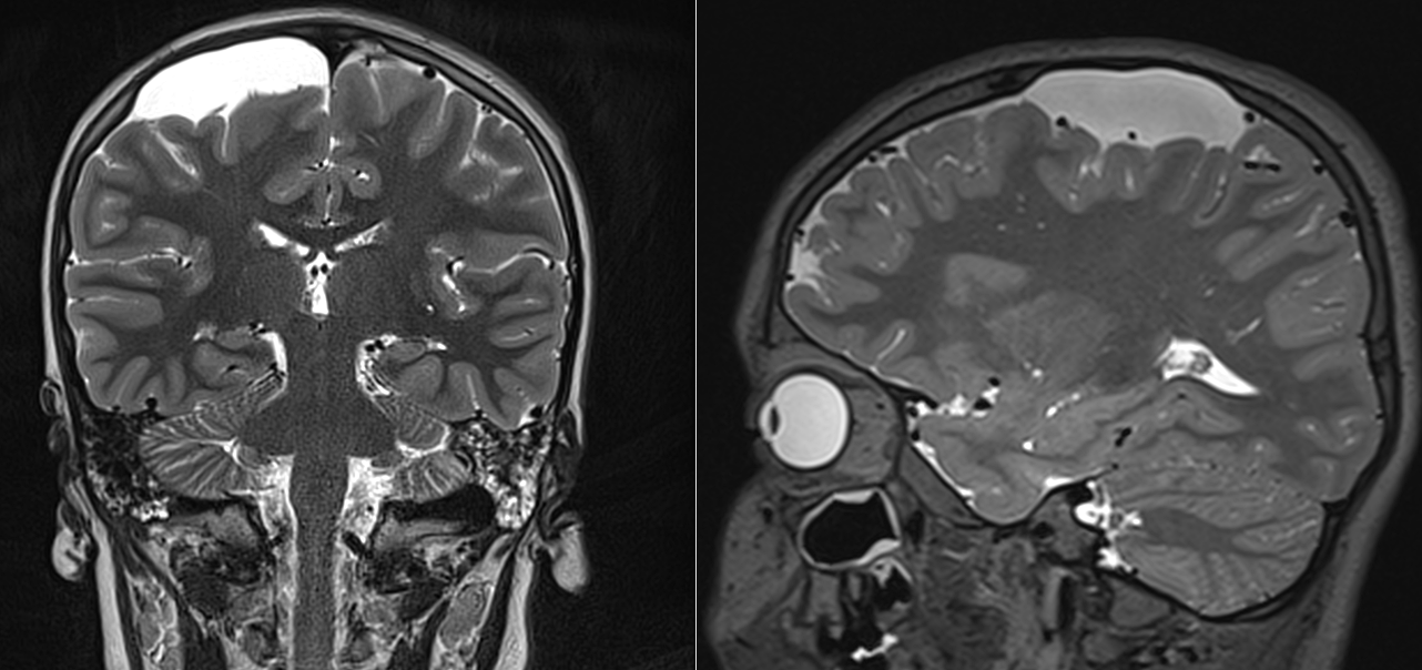
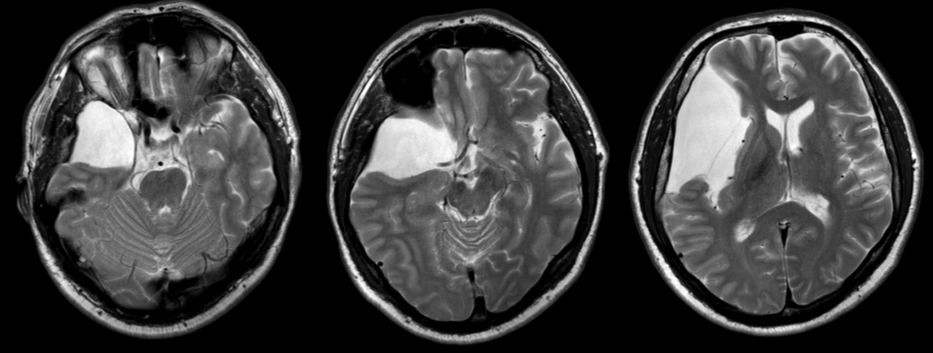
- RMN (rezonanță magnetică nucleară): metoda preferată, evidențiază conținutul de LCR și raporturile cu structurile cerebrale.
- CT cerebral: poate identifica chistele, în special cele mari, dar are o sensibilitate mai scăzută.
- CT cisternografie: în cazuri speciale, pentru evaluarea comunicării cu spațiul subarahnoidian.
Chistul arahnoidian apare ca o leziune hipointensă pe imaginile T1 și hiperintensă pe imaginile T2, cu semnal identic cu cel al lichidului cefalorahidian.

Diagnostic diferențial
Chistele arahnoidiene trebuie diferențiate de:
- chiste epidermoidiene (conținut proteic, nu au semnal identic cu LCR),
- chistele coloidale (de obicei în ventriculul III),
- chiste neurogliale,
- tumori chistice (ex. astrocitoame chistice),
- dilatarea anormală a spațiilor subarahnoidiene.
Evoluție naturală
Cele mai multe chiste rămân stabile în timp și nu necesită tratament. Totuși, unele pot crește în dimensiuni sau pot produce complicații:
- creștere progresivă a volumului chistului,
- compresia structurilor adiacente,
- ruperea chistului (rară, dar posibilă după traumatisme),
- hemoragie în interiorul chistului,
- apariția hidrocefaliei.

Tratament
Tratamentul se impune doar în cazul chistelor simptomatice sau celor cu efect de masă semnificativ. Există mai multe opțiuni:
1. Monitorizare
Pentru chistele asimptomatice sau mici:
- RMN periodic (la 6-12 luni),
- evaluare neurologică regulată.
2. Tratament chirurgical
- Fenestrare endoscopică: deschiderea chistului spre sistemul ventricular sau spațiul subarahnoidian pentru drenajul lichidului.
- Craniotomie cu excizia peretelui chistic: pentru chistele mari sau inaccesibile endoscopic.
- Shunt cistoperitoneal: în cazuri selecționate, pentru drenaj continuu în cavitatea peritoneală.
Prognostic
Prognosticul este în general foarte bun. La pacienții simptomatici tratați chirurgical, simptomele se ameliorează în majoritatea cazurilor. Recidiva este rară, în special după fenestrare completă sau excizie.
La copiii cu chiste supraselare sau voluminoase, intervenția timpurie poate preveni întârzierea în dezvoltare sau deficitul neurocognitiv.
Aspecte speciale la copii
Chistele arahnoidiene sunt mai frecvente la băieți decât la fete. În cazul copiilor, chistele mari pot influența dezvoltarea normală a creierului, ceea ce impune o atenție deosebită monitorizării și intervenției precoce dacă apar semne neurologice.
Concluzii
Chistele arahnoidiene sunt leziuni benigne, în marea majoritate a cazurilor asimptomatice. Deși unele necesită doar observație, altele pot necesita tratament chirurgical dacă devin simptomatice sau comprimă structuri neurologice importante. Investigațiile imagistice, în special RMN-ul, joacă un rol central în diagnostic, monitorizare și ghidarea terapiei. Prognosticul este excelent atunci când chisturile sunt corect evaluate și tratate corespunzător.



