Tumorile spinale ale coloanei osoase reprezintă o categorie importantă de afecțiuni care pot afecta coloana vertebrală și, indirect, structurile nervoase esențiale pentru mișcare, sensibilitate și funcțiile vitale. Prin coloana vertebrală trec măduva spinării și rădăcinile nervoase care fac legătura dintre creier și restul corpului, motiv pentru care orice proces patologic la acest nivel poate avea consecințe semnificative.

Aceste tumori se dezvoltă la nivelul vertebrelor – oasele care alcătuiesc coloana – și nu trebuie confundate cu tumorile măduvei spinării sau ale nervilor spinali, deși, în evoluție, pot ajunge să le comprime și să producă simptome neurologice asemănătoare.

Ce înseamnă, de fapt, o tumoră vertebrală
O tumoră vertebrală este o proliferare anormală de celule la nivelul osului vertebral. Aceasta poate fi benignă sau malignă, poate crește lent sau rapid și poate rămâne mult timp asimptomatică sau, dimpotrivă, poate produce simptome severe într-un interval scurt de timp.
Problema principală nu este doar prezența tumorii, ci efectele ei asupra:
- rezistenței mecanice a vertebrei
- stabilității coloanei vertebrale
- măduvei spinării și nervilor spinali
Pe măsură ce tumora crește, osul se subțiază, se fragilizează și poate ceda, ducând la tasări sau fracturi vertebrale.
Tipuri de tumori ale coloanei osoase
Din punct de vedere al originii, tumorile vertebrale pot fi primare sau secundare.
Tumorile primare apar direct din țesutul osos al vertebrelor. Ele sunt relativ rare, dar importante prin diversitatea lor. Unele sunt benigne, cum ar fi hemangioamele vertebrale sau osteoamele, și pot rămâne mult timp descoperite, fiind identificate întâmplător la investigații imagistice. Altele sunt maligne și au un comportament agresiv, distrugând osul și extinzându-se către structurile din jur.
Tumorile secundare, cunoscute sub numele de metastaze vertebrale, sunt de departe cele mai frecvente. Coloana vertebrală este unul dintre cele mai comune locuri de metastazare deoarece este bogat vascularizată. La mulți pacienți oncologici, vertebrele devin un „teren” de implantare pentru celulele tumorale provenite din alte organe.
Metastazele vertebrale – realitatea cea mai frecventă
Metastazele la nivelul coloanei vertebrale apar frecvent în cancerele de sân, plămân, prostată, rinichi sau tiroidă. Acestea pot fi singura manifestare a bolii oncologice sau pot apărea într-un stadiu avansat al bolii.
Metastazele pot:
- distruge progresiv corpul vertebral
- slăbi structura osului
- produce tasări sau colaps vertebral
- comprima măduva spinării
Uneori, durerea de spate este primul simptom al unui cancer nediagnosticat anterior.

Cum produc tumorile vertebrale simptome
Simptomele apar prin mai multe mecanisme. Tumora poate produce durere direct, prin afectarea osului, sau indirect, prin instabilitate spinală. Pe măsură ce vertebra se fragilizează, micile mișcări cotidiene devin dureroase.
Un alt mecanism major este compresia neurologică. Măduva spinării este extrem de sensibilă la presiune, iar compresia ei poate duce la simptome progresive, uneori ireversibile dacă nu sunt tratate la timp.
Durerea – semnalul de alarmă principal
Durerea este cel mai frecvent simptom al tumorilor vertebrale. Aceasta are câteva caracteristici tipice:
- este persistentă
- nu se ameliorează la repaus
- apare sau se intensifică noaptea
- crește progresiv în intensitate
Spre deosebire de durerile mecanice obișnuite de spate, durerea tumorală este profundă, constantă și adesea nu răspunde la tratamentele uzuale.

Simptome neurologice posibile
Atunci când tumora comprimă structurile nervoase, pot apărea:
- slăbiciune la nivelul membrelor
- dificultăți de mers
- amorțeli sau furnicături
- pierderea sensibilității
- tulburări de control urinar sau intestinal
Aceste simptome reprezintă semne de alarmă și necesită evaluare medicală de urgență.
Importanța localizării pe coloana vertebrală
Localizarea tumorii influențează semnificativ tabloul clinic. Tumorile cervicale pot afecta rapid mobilitatea membrelor și respirația. Cele toracice pot evolua mai lent, dar pot produce compresii medulare severe. Tumorile lombare afectează frecvent nervii responsabili de mișcarea și sensibilitatea membrelor inferioare.
Diagnosticul – un proces esențial
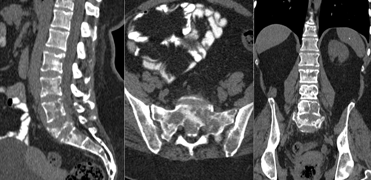
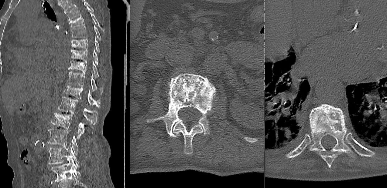
Diagnosticul tumorilor spinale osoase se bazează pe imagistică de înaltă performanță. Rezonanța magnetică este investigația principală, deoarece oferă informații detaliate despre os, măduvă și nervi. Tomografia computerizată este utilă pentru evaluarea distrugerii osoase.
În multe cazuri, este necesară o biopsie pentru a stabili cu certitudine natura tumorii. Acest pas este crucial înainte de inițierea tratamentului.

Abordarea terapeutică
Tratamentul tumorilor vertebrale este individualizat. Nu există o soluție universală. Se iau în considerare tipul tumorii, extinderea ei, starea neurologică a pacientului și starea generală de sănătate.
Chirurgia este indicată atunci când există compresie medulară, instabilitate spinală sau durere severă. Intervenția urmărește decompresia structurilor nervoase și stabilizarea coloanei.
Radioterapia joacă un rol important, în special în metastaze, având capacitatea de a reduce durerea și de a controla creșterea tumorală. Tratamentele oncologice sistemice sunt esențiale în funcție de tipul cancerului de bază.
Recuperarea și viața după diagnostic
Recuperarea este o componentă fundamentală a tratamentului. Reabilitarea medicală, kinetoterapia și suportul psihologic contribuie la redobândirea funcționalității și a calității vieții.
Pentru mulți pacienți, controlul durerii și menținerea autonomiei sunt obiective majore.
Mesaj final
Tumorile spinale ale coloanei osoase sunt afecțiuni serioase, dar tratabile atunci când sunt diagnosticate la timp. Durerea de spate persistentă, mai ales la pacienții oncologici, nu trebuie ignorată. Evaluarea precoce și tratamentul corect pot preveni complicații neurologice grave și pot schimba semnificativ evoluția bolii.




