Trimite-ne un mail

Lasă-ne un mesaj!

Edit Template

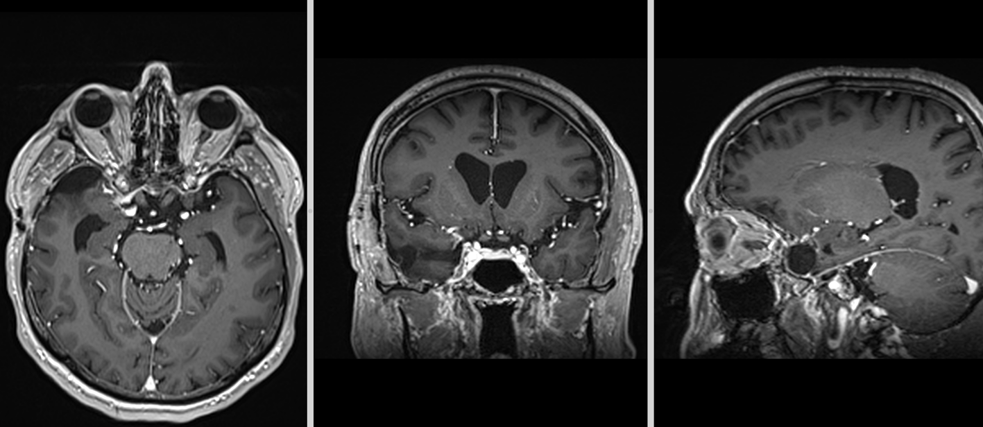
Meningiom de aripă de sfenoid

Vă prezentăm cazul unui pacient diagnosticat cu meningiom de aripă de sfenoid dreaptă, o tumoră cerebrală benignă care se dezvoltă din meningele ce acoperă creierul. Deși meningiomele sunt în general tumori cu evoluție lentă, localizarea lor în apropierea structurilor importante ale bazei craniului poate produce simptome neurologice și necesită frecvent tratament chirurgical.

Pacientul s-a prezentat pentru evaluare neurologică după apariția unor simptome persistente, care au determinat efectuarea unui RMN cerebral. Investigația imagistică a evidențiat o formațiune tumorală situată la nivelul aripii sfenoidului drept, cu aspect caracteristic de meningiom.

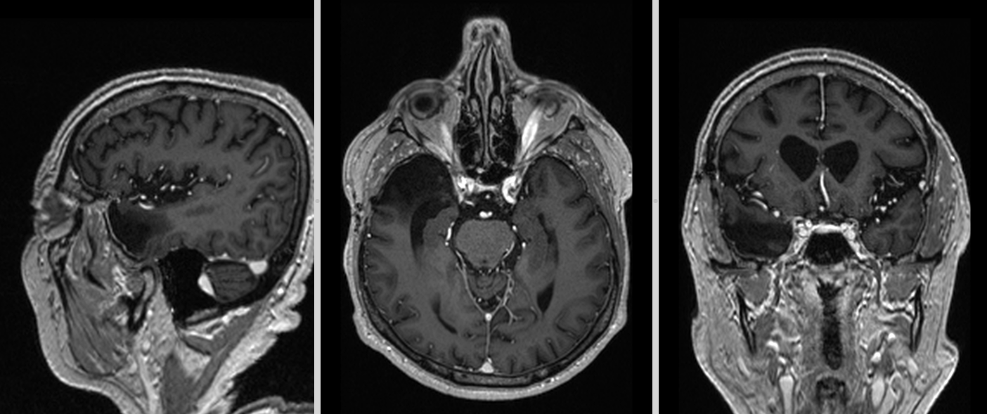
Având în vedere dimensiunea și poziția tumorii, s-a recomandat tratament chirurgical, obiectivul intervenției fiind rezecția completă a leziunii și decompresia structurilor cerebrale învecinate.

Intervenția neurochirurgicală a fost realizată utilizând tehnici moderne de microchirurgie. Printr-o abordare atent planificată s-a putut realiza rezecția completă a tumorii, cu protejarea structurilor vasculare și nervoase din vecinătate.

RMN postoperator precoce

 

Evoluția postoperatorie a fost favorabilă, fără complicații neurologice. Pacientul a beneficiat de monitorizare clinică și imagistică periodică, conform protocoalelor moderne de urmărire pentru tumorile cerebrale benigne.

RMN postoperator la 6 luni

 

Controlul RMN efectuat la 2 ani după intervenție confirmă rezultatul chirurgical: nu există rest tumoral și nici semne de recidivă.

RMN postoperator la 2 ani

 

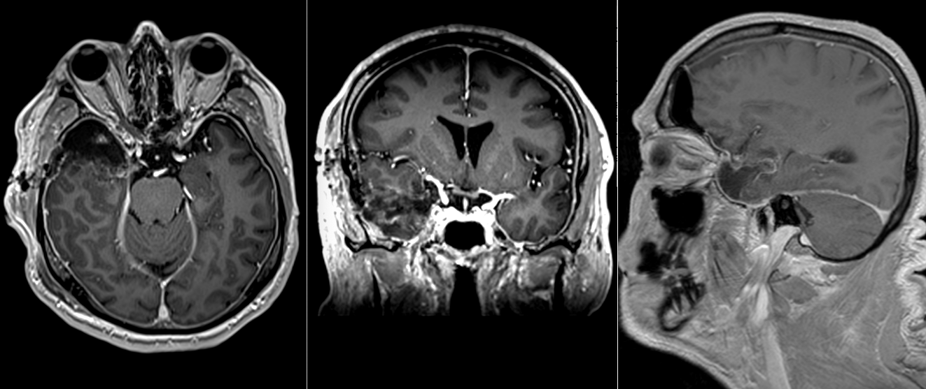
La fel la 5 ani – fără tumoră reziduală sau recurentă. Putem considera că pacientul este vindecat.

RMN postoperator la 5 ani

 

Acest caz ilustrează câteva aspecte esențiale în tratamentul meningiomelor de bază de craniu:

– importanța diagnosticului imagistic corect
– planificarea atentă a abordului chirurgical
– utilizarea tehnicilor de microchirurgie pentru rezecție completă
– monitorizarea pe termen lung prin RMN

În multe situații, atunci când tumora poate fi îndepărtată complet, tratamentul chirurgical este curativ, iar prognosticul pe termen lung este foarte bun.

La Centrul de Tumori Cerebrale, fiecare caz este analizat individual, iar strategia terapeutică este adaptată pentru a obține cel mai bun rezultat oncologic și funcțional pentru pacient.

Acest tip de rezultate confirmă rolul unei abordări multidisciplinare și al experienței chirurgicale în tratamentul tumorilor cerebrale.

Lasă un mesaj

Adresa ta de email nu va fi publicată. Câmpurile obligatorii sunt marcate cu *

Categoriile principale

Cele mai recente articole

  • All Post
  • Blog
  • Cazuri
  • Glioame
  • Litera A
  • Litera C
  • Litera E
  • Litera G
  • Litera L
  • Litera M
  • Litera N
  • litera P
  • Litera S
  • Tipuri de tumori cerebrale
  • Tumorile cerebrale la copii

Înscrie-te la newsletter

Vrei să fii la curent cu cele mai noi tratamente și articole explicate clar?
Te-ai înscris Ops! Ceva nu a mers bine, reîncearcă te rog.

Ai primi un diagnostic de tumoară cerebrală? Aici găsești sprijinul, informațiile și direcția de care ai nevoie.

Address

Informații utile

Politică cookies

GDPR

Termeni & Condiții

© 2026 Creat de DIGITALLAND.RO