Prezentare de caz – o poveste despre speranță și perseverență
Uneori, o tumoră cerebrală nu începe cu simptome dramatice, ci cu lucruri mici, aparent greu de explicat. Pentru acest pacient, totul a început cu dureri de cap persistente și cu o senzație ciudată că lumea din jurul lui nu mai arăta la fel.
Avea 38 de ani, era căsătorit și tată a doi copii. Viața lui era plină și activă. Dar, treptat, a început să observe că nu mai vedea bine în partea stângă a câmpului vizual. Uneori se lovea de obiecte sau nu observa lucruri aflate în acea parte.
În același timp, a apărut un simptom și mai tulburător: nu mai recunoștea fețele unor persoane apropiate. Își recunoștea familia după voce sau după alte detalii, dar chipurile păreau brusc necunoscute. Era un simptom rar și greu de descris, dar suficient de îngrijorător încât să caute ajutor medical.
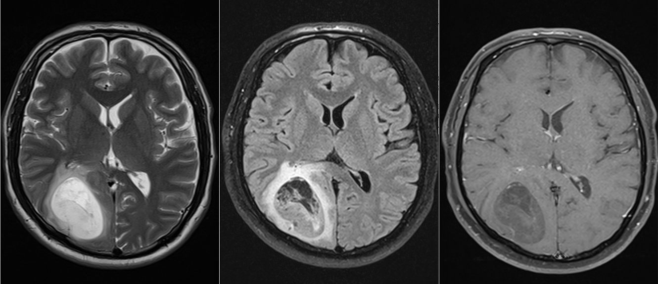
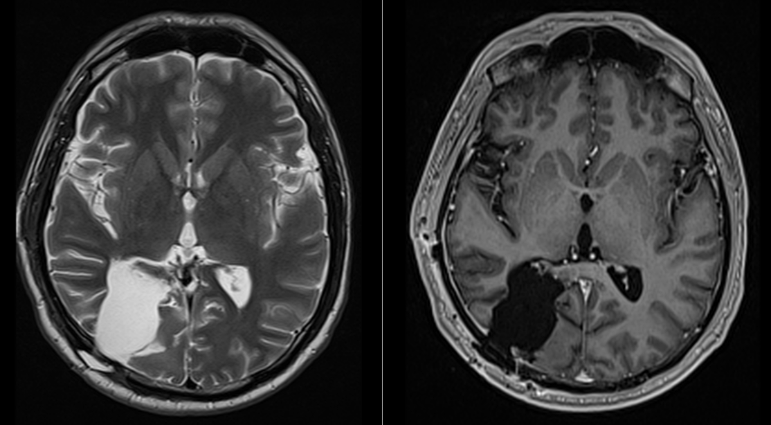
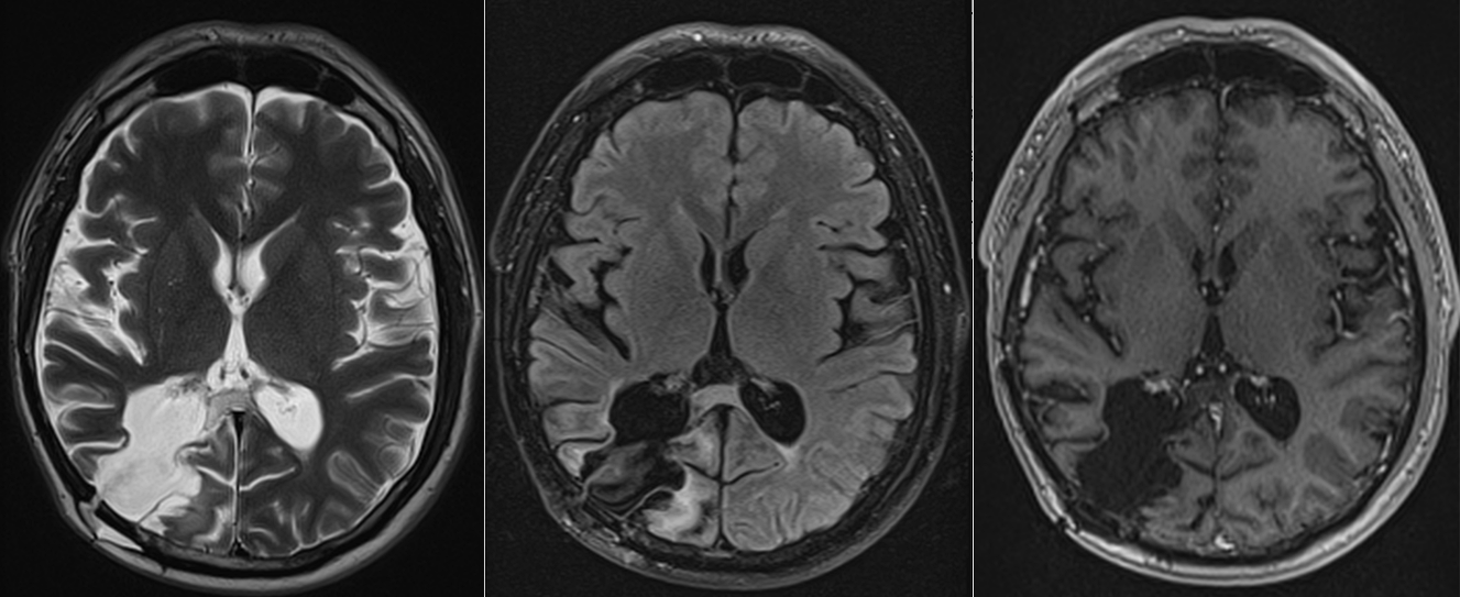
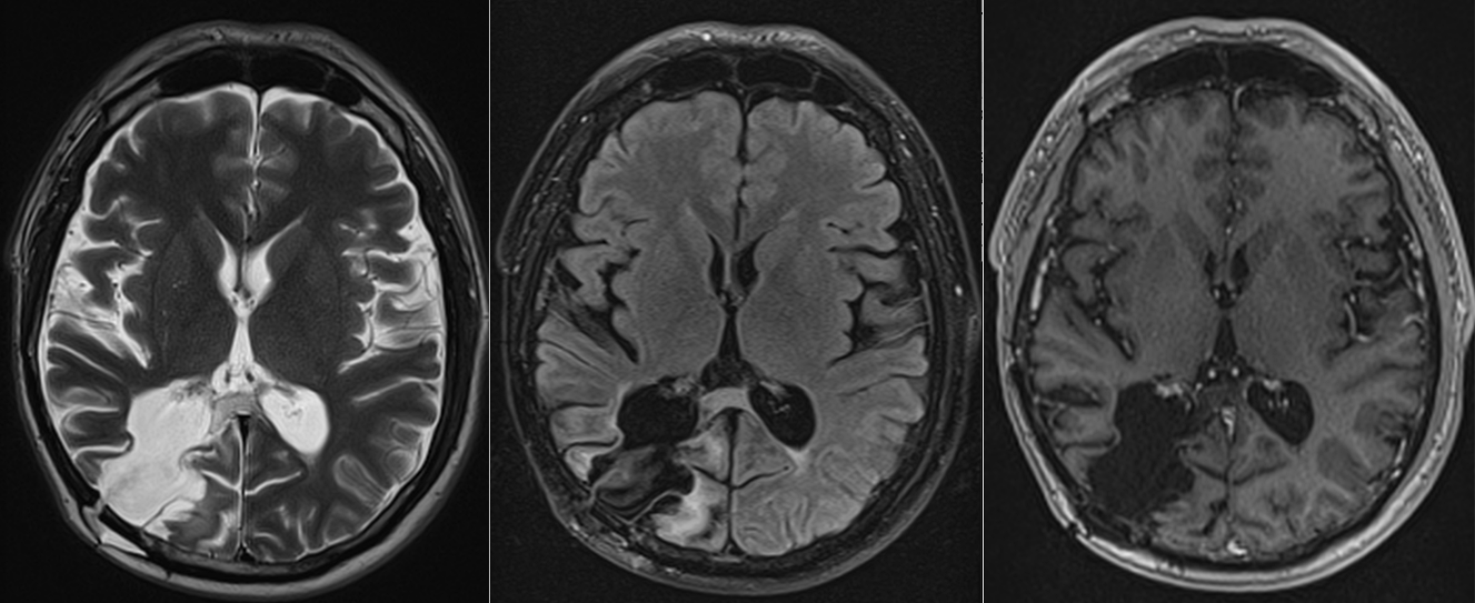
Investigația prin RMN cerebral a clarificat situația: exista o tumoră cerebrală situată în regiunea occipito-temporală dreaptă, o zonă a creierului implicată în procesarea informației vizuale și în recunoașterea fețelor.

Diagnosticul a schimbat brusc perspectiva asupra vieții. În fața unei astfel de vești, fiecare pacient trece prin același amestec de teamă, incertitudine și întrebări fără răspuns.
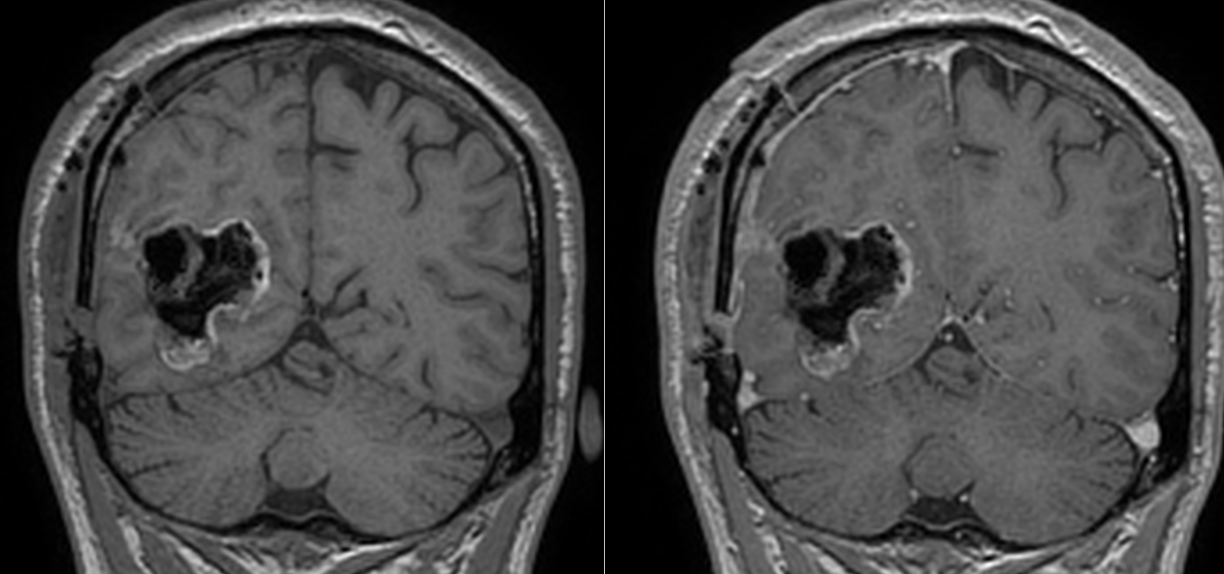
Soluția terapeutică a fost intervenția chirurgicală, cu scopul de a îndepărta tumora cât mai complet posibil, protejând în același timp funcțiile neurologice importante din jur.
Operația a decurs în condiții bune, iar tumora a fost rezecată într-o proporție foarte mare. Analiza microscopică a confirmat diagnosticul de astrocitom anaplazic (grad III) – o tumoră glială cu potențial agresiv.


Au urmat apoi tratamentele oncologice complementare și o perioadă de recuperare și monitorizare atentă.

Anii au trecut.
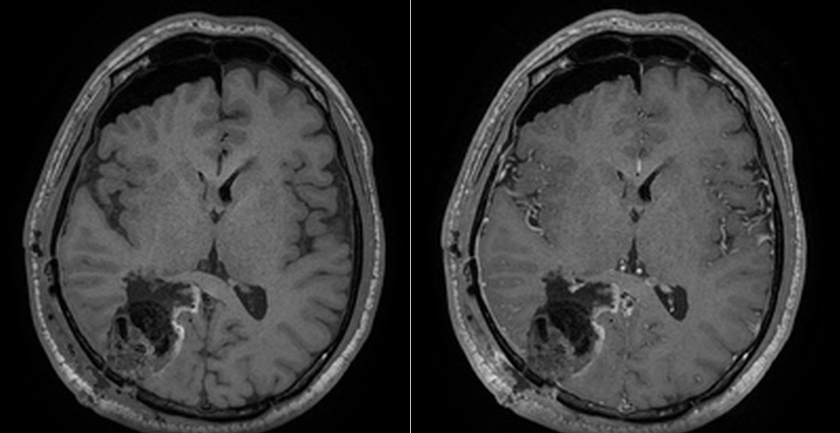
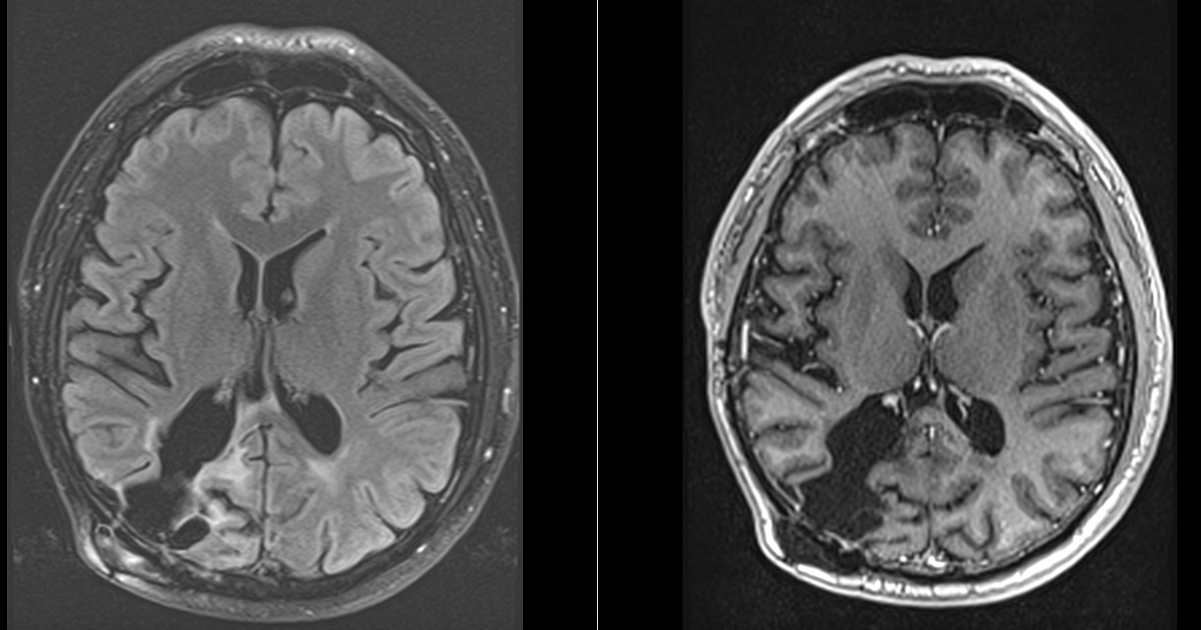
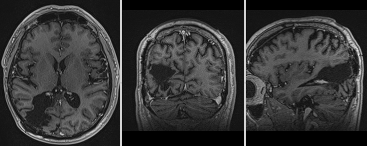
Controalele imagistice s-au repetat periodic, fiecare RMN fiind un moment de emoție și speranță.


Treptat, viața și-a reluat cursul firesc. Pacientul s-a întors la familie, la activitatea profesională și la rutina zilnică.

Astăzi, la 9 ani de la operație, nu există semne de recidivă tumorală. Deficitul vizual s-a stabilizat, iar dificultățile de recunoaștere a fețelor s-au ameliorat parțial. Mai important însă, pacientul și-a recâștigat viața de zi cu zi.

Acest caz ne amintește că tumorile cerebrale pot produce simptome neobișnuite și pot schimba brusc cursul vieții unui om. Dar ne arată și ceva la fel de important:
tratamentul corect, intervenția chirurgicală la momentul potrivit și monitorizarea atentă pot transforma un diagnostic dificil într-o poveste de supraviețuire pe termen lung.
În spatele fiecărui RMN și al fiecărei intervenții există o poveste umană. Iar uneori, această poveste poate continua frumos, chiar și la mulți ani după diagnostic.




