Tumorile de plex coroid
Tumorile de plex coroid sunt formațiuni rare care se dezvoltă din celulele plexului coroid – o structură situată în interiorul ventriculilor cerebrali, responsabilă de producerea lichidului cefalorahidian (LCR). Deși reprezintă mai puțin de 1% din toate tumorile cerebrale, sunt mai frecvente la copii, în special în primii ani de viață.
Clasificare
Tumorile de plex coroid sunt împărțite, conform Organizației Mondiale a Sănătății (OMS), în trei tipuri principale, în funcție de gradul de agresivitate:

- Papilom de plex coroid (grad I OMS) – tumoră benignă, cu creștere lentă.
- Papilom atipic de plex coroid (grad II OMS) – tumoră intermediară, cu un potențial mai mare de recurență.
- Carcinom de plex coroid (grad III OMS) – tumoră malignă, agresivă, cu capacitate de invazie și metastazare.
Epidemiologie
– Papiloamele (grad I și II) sunt întâlnite mai ales la copii sub 2 ani.
– Carcinoamele (grad III) apar, de asemenea, predominant la copii, dar pot apărea și la adulți, deși foarte rar.
Tumorile apar de obicei în ventriculul lateral la copii, iar în ventriculul IV la adulți, deși există multiple excepții.
Simptomele tumorilor de plex coroid
Simptomele sunt cauzate de obstrucția fluxului normal al lichidului cefalorahidian, ceea ce duce la hidrocefalie (acumulare excesivă de lichid în creier). Când se dezvoltă în ventriculii laterali pot determina simptome datorate hipertensiunii intracraniene și afectării circuitelor neuronale locale (deficite neurologice focale).
Cele mai frecvente manifestări includ:
– Creșterea dimensiunii capului la sugari (din cauza fontanelelor deschise)
– Greață și vărsături
– Iritabilitate sau letargie la copil
– Convulsii
– Tulburări de vedere – datorate edemului papilar
– Dureri de cap persistente
– Tulburări de mers și echilibru
Cum se pune diagnosticul?
Diagnosticul se bazează pe:
– Examen clinic neurologic
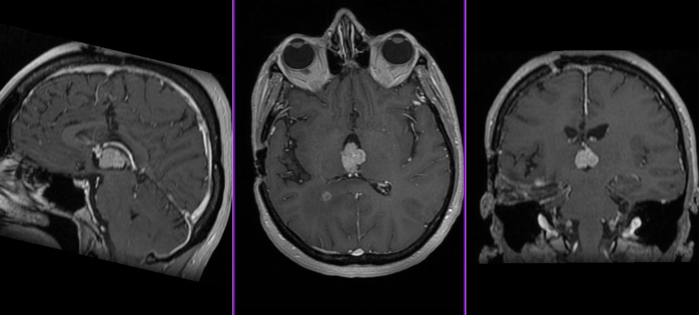
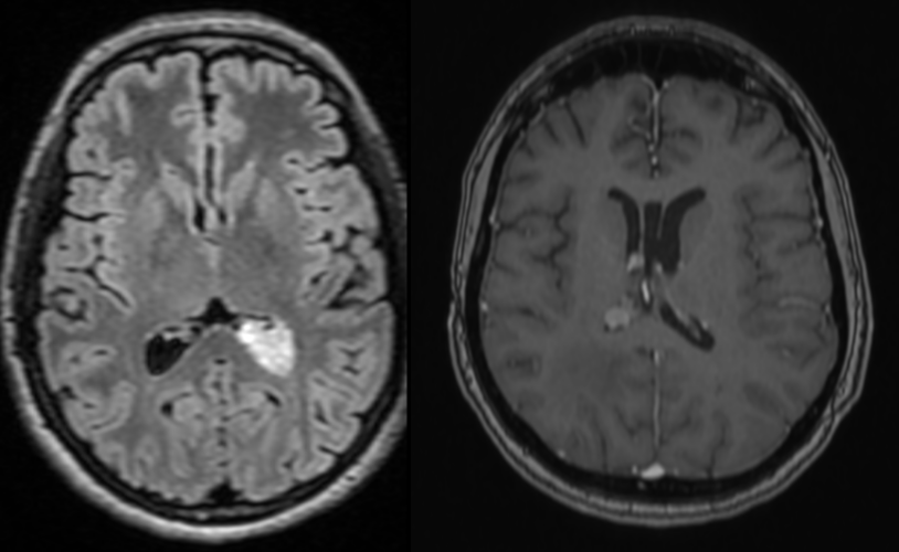
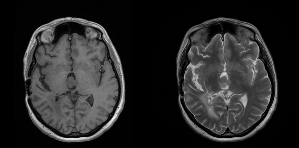
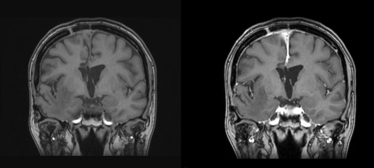
– Investigații imagistice: RMN (rezonanță magnetică) și/sau CT (tomografie computerizată), care evidențiază masa tumorală și hidrocefalia asociată
– Analiza LCR, uneori, pentru detectarea celulelor tumorale (mai ales în cazurile maligne)
– Biopsia sau examenul histopatologic după îndepărtarea chirurgicală

Tratamentul tumorilor de plex coroid
Pentru tumorile de grad mic (I sau II) excizia chirurgicală este de obicei singurul tratament necesar. În cazurile în care există un rest tumoral care nu poate fi îndepărtat (aderent de structuri vasculare sau nervoase), radioterapia focală (chiar stereotaxică) poate fi o opțiune valoroasă.
Datorită poziției profunde (ventriculii laterali sunt situați în mijlocul emisferelor cerebrale iar ventriculul III și IV în mijlocul creierului, înconjurați de structuri vitale), abordul chirurgical al acestor tumori este adesea dificil, reprezentând o provocare chiar și pentru cei mai experimentați chirurgi.
Pentru tumorile agresive, tratamentul chirurgical trebuie obligatoriu urmat de radioterapie și chiar chimioterapie citostatică, deși nu există un regim standardizat. Întrucât aceste tumori tind să recidiveze, adesea de-a lungul plexului coroid, pot fi necesare intervenții chirurgicale multiple, inclusiv pentru drenajul lichidului cefalo-rahidian.
Prognostic
Papiloamele de plex coroid (grad I) au un prognostic foarte bun, mai ales dacă sunt complet rezecate. Papiloamele atipice (grad II) pot recidiva, dar și acestea au o rată de supraviețuire crescută cu tratament adecvat.
Carcinoamele de plex coroid (grad III) ,în schimb, au un prognostic mai sever, cu supraviețuiri mult mai reduse, de 40–60% la 5 ani, în funcție de răspunsul la tratament și gradul de rezecție.


Diagnostic diferențial
Tumorile de plex coroid trebuie diferențiate de alte afecțiuni care pot produce mase tumorale în ventriculi sau pot duce la hidrocefalie, precum:
* Ependimomul
* Meduloblastomul (în ventriculul IV)
* Arachnoidocelul
* Chistul coloid de ventricul III
* Metastaze (rare la copii)
Cercetări și perspective viitoare
Studii recente au analizat modificările genetice și moleculare ale acestor tumori, în special ale carcinomului de plex coroid. Identificarea mutațiilor specifice (ex. TP53) poate contribui la diagnostic mai rapid, tratamente personalizate și prognoze mai clare. De asemenea, se testează terapii țintite pentru tumorile maligne.
Suportul pentru pacienți și familie
În cazul copiilor diagnosticați cu o tumoare de plex coroid, suportul psihologic este esențial. De multe ori, intervențiile chirurgicale sunt complicate, necesită spitalizare îndelungată și reabilitare. Consilierea, sprijinul parental, dar și accesul la terapii de recuperare (fizică și cognitivă) pot face diferența în calitatea vieții.



