1. Definiție și origine
Tumorile dermoide și epidermoide sunt neoplasme congenitale benigne rare ale sistemului nervos central (SNC), care își au originea din incluzii ectodermale rămase în cavitatea craniană în timpul dezvoltării embrionare. Acestea apar din resturi ale liniei mediane neurale închise incomplet în perioada embriogenezei, în special în zona tubului neural.
Ambele tipuri de tumori sunt chisturi incluse în categoria leziunilor chistice benigne, fără potențial invaziv, dar cu posibilitate de compresie a structurilor cerebrale din vecinătate.

2. Clasificare
- Chistul dermoid: Conține structuri ectodermale și mezodermale. Poate include fire de păr, glande sebacee, sudoripare, grăsime, uneori chiar dinți. Are un aspect macroscopic de masă chistică cu material gras, gălbui.
- Chistul epidermoid (chist perlat): Format doar din epiteliu scuamos cheratinizat (ectoderm). Conține keratină și resturi celulare, cu o consistență asemănătoare parafinei, si miros specific. Are aspect alb-sidefat, perlat, motiv pentru care este numit și „tumoră perlată”.
3. Epidemiologie
Sunt tumori rare, care reprezintă aproximativ 0,2–1,8% din toate tumorile intracraniene (epidermoidele sunt mai frecvente decât dermoidele). Chisturile dermoide sunt mai frecvente la copii și adulți tineri iar chisturile epidermoide se pot manifesta la orice vârstă, mai frecvent între 20 și 40 ani.

4. Localizare
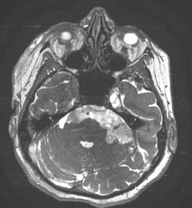
Tumorile dermoide și epidermoide sunt situate de obicei în afara țesutului cerebral, în cisternele de la baza creierului sau în valea sylviană.
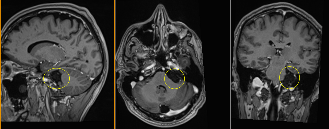
Chisturile dermoide se situează mai des pe linia mediană (de exemplu, fosa posterioară, chiasma optică, regiunea supraselară). Pot comunica cu suprafața pielii, mai ales la nivelul regiunii occipitale sau frontale.
Chisturile epidermoide:
- Unghiul ponto-cerebelos (cel mai frecvent).
- Cisterna interpedunculară.
- Cisterna prepontină.
- Substanța cerebrală profundă, mai rar (de exemplu, ventriculul lateral, trunchiul cerebral).
O localizare rară o constituie și chisturile intraosoase – la nivelul craniului, unde determină osteoliza prin compresie a calotei.
Ambele tipuri de tumori pot apărea și la nivel medular – mai frecvent lombo-sacrat, printre rădăcinile cozii de cal.

5. Prezentare clinică
Simptomele sunt rezultatul compresiei structurilor învecinate și depind de localizarea tumorii.
Simptome comune:
- Cefalee cronică.
- Tulburări de vedere (diplopie, scăderea acuității vizuale) – dacă sunt în zona chiasmei optice.
- Hipoacuzie, tinitus, vertij – mai ales în unghiul ponto-cerebelos.
- Tulburări de echilibru și coordonare (atac cerebelos).
- Crize epileptice – dacă chistul comprimă cortexul cerebral.
- Semne de hipertensiune intracraniană (greață, vărsături, edem papilar).
- Tulburări psihice și de comportament, în localizări frontale.
În cazul tumorilor rupte spontan sau în urma unui traumatism, apare o reacție inflamatorie chimică (meningită aseptică), generată de eliberarea conținutului gras în spațiul subarahnoidian.
6. Investigații paraclinice
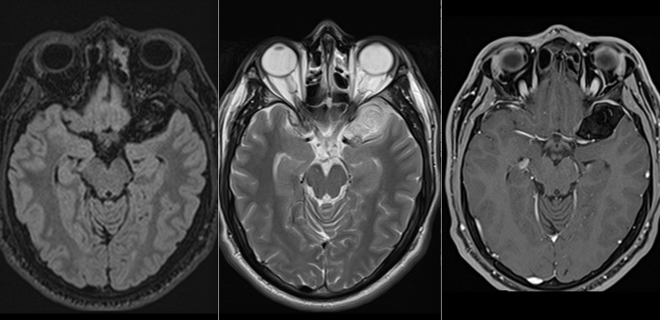
Imagistica prin rezonanță magnetică (IRM):
- Investigația de elecție.
- Chisturile epidermoide:
- Hiposemnal T1, hipersemnal T2.
- Nu se încarcă cu substanță de contrast.
- Apare restricție de difuzie pe secvențele DWI – caracteristică importantă.
- Chisturile dermoide:
- Hipersemnal pe T1 (datorită conținutului lipidic).
- Semnal mixt pe T2.
- Poate avea semnal susceptibil pe secvențe GRE dacă există componente calcificate.
- Poate fi evidentă o fistulă cu exteriorul.
CT cranian:
- Util pentru detectarea calcificărilor.
- Poate evidenția densitate scăzută în cazul dermoidelor (grăsime).

7. Diagnostic diferențial
- Arahnoidocele – colecții de lichid cefalo-rahidian extinse în afara craniului printr-un defect osos
- Chisturi coloide – localizate strict intraventricular
- Tumori gliale chistice (astrocitoame pilocitice).
- Chisturi neuroenterice
- Tumori dermice de linie mediană (teratoame).
- Abcese cerebrale (în forme atipice).
- Meningiom sau neurinom atipic în unghiul ponto-cerebelos.
8. Tratament
Chirurgical (standardul de aur):
Excizia completă a chistului și a capsulei este ideală. În cazul în care capsula aderă la structuri vitale (nervi cranieni, trunchi cerebral), se poate practica excizie subtotală pentru a evita complicațiile neurologice. Pentru a evita meningita aseptică este necesară curățarea spațiului subarahnoidian prin lavaj și tratament antiinflamator.
Tratament medicamentos adjuvant:
- Corticoterapie (pentru edem cerebral sau meningită aseptică).
- Antiepileptice (dacă există crize).
- Antibiotice în caz de infecții secundare (rare).
- Analgezice și tratament simptomatic.
Radioterapia / chimioterapia:
Nu sunt utile, deoarece tumorile nu au caracter proliferativ malign.

9. Prognostic
În general foarte bun după excizie completă. Rata de recidivă este mică, dar posibilă dacă excizia a fost incompletă. Epidermoidele pot crește lent și recidiva la distanță de ani. Există un risc crescut de meningită chimică (aseptică) dacă chistul se rupe (mai ales în cazul dermoidelor).
Tumorile dermoide și epidermoide nu se transformă malign de obicei, dar sunt raportate rare cazuri de transformare în carcinom scuamos în cazul chisturilor epidermoide.
10. Considerații speciale
- În chirurgia unghiului ponto-cerebelos, diferențierea între chistul epidermoid și neurinomul acustic este esențială – se realizează cu ajutorul RMN (difuzie, contrast, secvențe de nervi cranieni, etc.)
- În cazul chisturilor dermoide cu fistulă dermică, este importantă excizia completă pentru a preveni infecțiile recurente.
- În context pediatric, tumorile pot fi descoperite în cadrul evaluării unui sindrom de disrafism spinal asociat.
- În rarele cazuri complicate (ruptură, infecție), intervenția chirurgicală de urgență poate fi necesară.
Concluzie
Tumorile dermoide și epidermoide sunt entități benigne, congenitale, cu evoluție lentă și manifestări clinice variabile, în funcție de localizare. Diagnosticul imagistic este clar, iar tratamentul chirurgical este, în general, curativ. Prognosticul este favorabil, însă monitorizarea postoperatorie este necesară, în special pentru tumorile epidermoide, care pot recidiva lent și insidios. Recunoașterea precoce și intervenția adecvată previn complicațiile severe, precum meningita chimică sau compresia structurilor vitale.



