Trimite-ne un mail

Lasă-ne un mesaj!

Edit Template

Tumorile glandei pineale

 

Glanda pineală este o structură mică, nepereche, situată în centrul creierului, în spatele și deasupra mezencefalului, în apropierea aqueductului lui Sylvius. Ea este responsabilă în principal pentru secreția de melatonină, un hormon implicat în reglarea ritmului circadian. Deși mică și cu funcție endocrină discretă, glanda pineală poate fi sediul unor tumori rare, dar cu potențial clinic și neurochirurgical important.

 

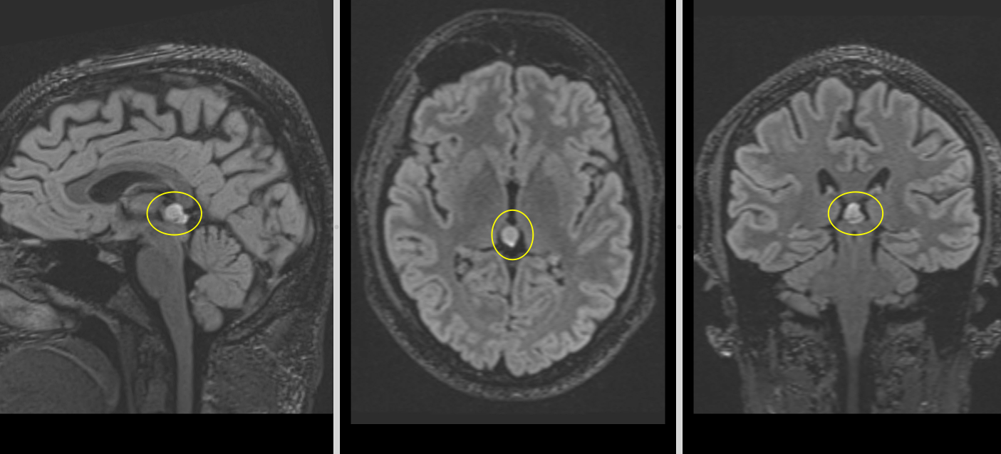
Mică tumoră de glandă pineală – pinealocitom

 

Clasificare

Tumorile glandei pineale sunt heterogene din punct de vedere histologic și se clasifică în trei mari grupe:

  1. Tumori de origine germinală (germinomoamele pineale, teratoame, coriocarcinoame etc.)
  2. Tumori pineocitare (pineocitom, pineoblastom)
  3. Tumori non-neuroectodermale (ex. metastaze, glioame, meningiom, chisturi arahnoidiene)

  

Incidență și epidemiologie

Tumorile glandei pineale reprezintă aproximativ 0,4-1% din totalul tumorilor intracraniene la adulți, dar pot ajunge până la 3-8% la copii și adolescenți. Sunt mai frecvente în rândul băieților și adolescenților tineri, în special în cazul tumorilor de origine germinală.

 

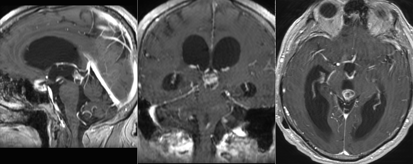
Tumoră gigantă de glandă pineală și sinus cavernos drept cu hidrocefalie – germinom malign

 

Etiologie și factori de risc

Cauza acestor tumori nu este pe deplin cunoscută. Se presupune că tumorile de origine germinală se dezvoltă din celule germinale rămase aberant în sistemul nervos central în timpul dezvoltării embrionare. Nu s-au identificat factori de risc genetici sau de mediu clari, cu excepția unor sindroame genetice rare.

  

Manifestări clinice

Simptomatologia acestor tumori derivă în principal din:

  • Compresia structurilor învecinate, în special a aqueductului cerebral, ceea ce duce la hidrocefalie obstructivă:
    • Cefalee matinală
    • Greață, vărsături
    • Edem papilar – hipertensiune intracraniană
  • Sindrom Parinaud (paralizie a privirii verticale):
    • Imposibilitatea de a privi în sus – așa numita privire „în apus de soare”
    • Midriază fixă, reacție slabă la lumină
    • Nistagmus convergent-retractil
  • Simptome endocrine (rare): tulburări ale somnului, pubertate precoce (în special la băieți, în tumori germinale cu secreție de hCG)

 

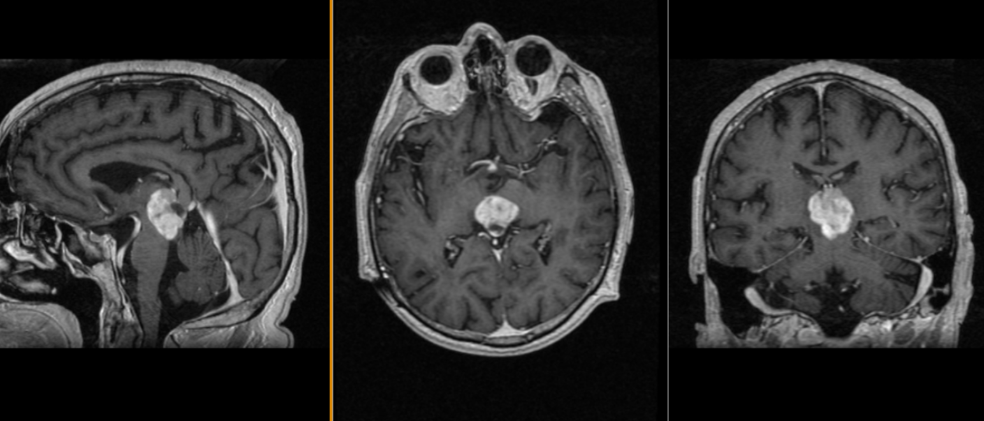
Tumoră de glandă pineală – hidrocefalie obstructivă

 

Diagnostic

Evaluarea diagnosticului implică mai multe etape:

  • Imagistică:
    • RMN cerebral cu substanță de contrast: oferă detalii despre localizare, dimensiuni, caracteristici ale masei tumorale
    • CT poate evidenția calcificări (frecvente în germinoame)
  • Markeri tumorali serici și în LCR:
    • β-hCG (beta gonadotropina corionică umană)
    • AFP (alfa-fetoproteina)
  • Puncție lombară:
    • Lichid cefalorahidian pentru citologie și determinarea markerilor
    • Contraindicată în prezența semnelor de hipertensiune intracraniană
  • Biopsie stereotactică:
    • Necesară în cazul leziunilor atipice sau fără marker specific

   

Tratament

Tratamentul variază în funcție de tipul histologic și de extinderea leziunii:

  1. Hidrocefalie acută:
    • Drenaj ventriculo-peritoneal (DVP), drenaj ventricular extern (DVE) sau ventriculocisternostomie endoscopică (ETV)
  1. Germinoame:
    • Radioterapie craniospinală + chimioterapie (cisplatină, etopozid, ifosfamid)
    • Prognostic foarte bun (supraviețuire >90% la 5 ani)
  1. Non-germinoame:
    • Tratament combinat: chirurgie + radio + chimioterapie
    • Teratoamele mature pot necesita doar excizie chirurgicală
  1. Pineocitoame:
    • Excizie chirurgicală completă, dacă este posibil
  1. Pineoblastoame:
    • Chirurgie urmată de radio și chimioterapie
    • Prognostic rezervat, în special la copii mici

 

Aborduri chirurgicale

Chirurgia tumorilor pineale este complexă și necesită acces la regiunea profundă a creierului:

  • Abord occipital-transtentorial
  • Abord infratentorial-supracerebelos
  • Tehnici minim invazive (neuroendoscopie) pentru cazuri selectate

  

Prognostic

Prognosticul depinde de tipul histologic, vârsta pacientului și răspunsul la tratament:

  • Germinoamele au un prognostic excelent
  • Teratoamele mature sunt tratabile chirurgical
  • Pineoblastoamele și coriocarcinoamele au prognostic nefavorabil
  • Supraviețuirea generală la 5 ani variază între 50% și 90% în funcție de histologie

 

Tumoră de glandă pineală – hidrocefalie tratată prin drenaj ventriculo-peritoneal

  

Complicații

  • Recidiva tumorală
  • Sechele neurologice post-tratament
  • Tulburări endocrine
  • Afectare cognitivă post-iradiere, mai ales la copii

  

Monitorizare

Pacienții necesită urmărire pe termen lung:

  • RMN cerebral periodic
  • Monitorizare markerilor tumorali (hCG, AFP)
  • Evaluare neuropsihologică
  • Asistență endocrinologică, în caz de disfuncție hormonală

 

Tumoră de glandă pineală – determinări secundare în pereții ventriculari

  

Suport psihologic și recuperare

  • Sprijin psihologic este esențial pentru pacient și familie
  • Recuperare neurocognitivă poate fi necesară după tratamente intense
  • Integrarea școlară/profesională trebuie susținută prin echipe multidisciplinare

Lasă un mesaj

Adresa ta de email nu va fi publicată. Câmpurile obligatorii sunt marcate cu *

Categoriile principale

Cele mai recente articole

  • All Post
  • Blog
  • Cazuri
  • Glioame
  • Litera A
  • Litera C
  • Litera E
  • Litera G
  • Litera L
  • Litera M
  • Litera N
  • litera P
  • Litera S
  • Tipuri de tumori cerebrale
  • Tumorile cerebrale la copii

Înscrie-te la newsletter

Vrei să fii la curent cu cele mai noi tratamente și articole explicate clar?
Te-ai înscris Ops! Ceva nu a mers bine, reîncearcă te rog.

Ai primi un diagnostic de tumoară cerebrală? Aici găsești sprijinul, informațiile și direcția de care ai nevoie.

Address

Informații utile

Politică cookies

GDPR

Termeni & Condiții

© 2025 Creat de DIGITALLAND.RO