Trimite-ne un mail

Lasă-ne un mesaj!

Edit Template

Tumorile medulare

 

Ce este măduva spinării și de ce este importantă

Măduva spinării este o structură nervoasă esențială, situată în interiorul canalului vertebral, care face legătura între creier și restul corpului.
Prin intermediul ei se transmit comenzile motorii către mușchi și informațiile senzitive din corp către creier.
De asemenea, măduva controlează reflexele și are un rol important în funcțiile vegetative, cum sunt controlul vezicii urinare și al intestinului.

Orice afecțiune care afectează măduva spinării poate avea consecințe neurologice importante, uneori severe și permanente.
Tumorile medulare reprezintă una dintre aceste afecțiuni.

 

Ce sunt tumorile medulare

Tumorile medulare sunt formațiuni tumorale care se dezvoltă în interiorul canalului spinal și care afectează direct sau indirect măduva spinării.
Este important de subliniat că aceste tumori nu provin din oasele coloanei vertebrale, ci din structurile nervoase sau din învelișurile măduvei.

Ele pot fi:

  • benigne (necanceroase)
  • maligne (canceroase)

Chiar și tumorile benigne pot fi periculoase, deoarece spațiul din canalul spinal este limitat, iar compresia măduvei poate duce la deficite neurologice serioase.

 

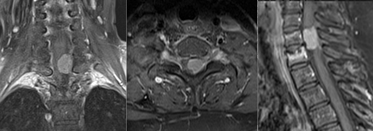
Meningiom spinal toracal – secțiuni sagitale

 

Meningiom spinal toracal – secțiuni axiale

 

Clasificarea tumorilor medulare după localizare

În funcție de poziția lor față de măduvă, tumorile medulare se împart în trei mari categorii:

1 Tumori intramedulare

Aceste tumori se dezvoltă în interiorul substanței măduvei spinării.
Sunt cele mai delicate din punct de vedere chirurgical.

Cele mai frecvente tipuri:

  • ependimoame
  • astrocitoame
  • hemangioblastoame

Tumorile intramedulare determină de obicei o creștere lentă a simptomelor.

 

Tumoră intramedulară toracală – ependimom

 

2 Tumori intradurale extramedulare

Sunt localizate în interiorul durei mater, dar în afara măduvei propriu-zise.
Ele comprimă măduva din exterior.

Cele mai frecvente tipuri:

  • meningiom spinal
  • schwannom (neurinom)
  • neurofibrom

Aceste tumori sunt adesea benigne și au, în general, un prognostic bun după tratament.

 

Schwannom radicular C5 stânga

 

3 Tumori extradurale cu afectare medulară

Deși provin din alte structuri (de exemplu metastaze), ele pot comprima sever măduva.
În acest text, accentul rămâne pe tumorile care implică direct măduva și spațiul intradural.

 

Cauzele tumorilor medulare

În majoritatea cazurilor, cauza exactă a apariției tumorilor medulare nu este cunoscută.
Există însă anumiți factori asociați:

  • predispoziție genetică
  • boli genetice rare (de exemplu neurofibromatoza)
  • iradiere anterioară
  • tumori primare în alte organe (în cazul metastazelor)

Este important de menționat că stilul de viață nu este, în general, o cauză directă pentru aceste tumori.

 

Simptomele tumorilor medulare

Simptomele apar de obicei progresiv și depind de:

  • localizarea tumorii
  • dimensiunea acesteia
  • viteza de creștere

 

Durerea

Durerea este unul dintre cele mai frecvente simptome.
Poate fi:

  • locală (la nivelul coloanei)
  • iradiată pe traiectul nervilor
  • mai intensă noaptea sau în repaus

 

Tulburări motorii

Pacientul poate observa:

  • slăbiciune musculară
  • dificultăți la mers
  • rigiditate sau spasticitate
  • pierderea coordonării

În cazuri avansate, poate apărea paralizia parțială sau completă.

 

Tulburări de sensibilitate

Acestea pot include:

  • amorțeli
  • furnicături
  • senzație de arsură
  • pierderea sensibilității la durere sau temperatură

 

Tulburări sfincteriene

În stadii mai avansate pot apărea:

  • dificultăți la urinare
  • incontinență urinară
  • constipație severă
  • pierderea controlului intestinal

 

 

Diagnosticul tumorilor medulare

Examinarea clinică neurologică

Medicul neurolog evaluează:

  • forța musculară
  • reflexele
  • sensibilitatea
  • mersul și coordonarea

 

Imagistica prin rezonanță magnetică (RMN)

RMN-ul spinal este investigația de elecție.
Permite:

  • localizarea exactă a tumorii
  • delimitarea față de măduvă
  • evaluarea compresiei medulare

De multe ori se utilizează substanță de contrast.

 

Alte investigații

În anumite cazuri pot fi necesare:

  • CT
  • analize de sânge
  • puncție lombară
  • biopsie (rar, selectiv)

 

Meningiom spinal toracal cu compresiune medulară severă

 

Tratamentul tumorilor medulare

Tratamentul este individualizat și stabilit de o echipă multidisciplinară.

Tratamentul chirurgical

Chirurgia este principala metodă de tratament pentru majoritatea tumorilor medulare.

Scopurile operației sunt:

  • îndepărtarea tumorii
  • decompresia măduvei
  • păstrarea funcției neurologice

Gradul de rezecție depinde de tipul tumorii și de relația ei cu țesutul nervos.

Radioterapia

Radioterapia poate fi utilizată:

  • postoperator
  • ca tratament principal în tumori inoperabile
  • în recidive

Chimioterapia

Este folosită mai rar în tumorile medulare, dar poate fi indicată în:

  • tumori maligne
  • cazuri pediatrice
  • tumori cu comportament agresiv

 

Recuperarea neurologică

Recuperarea este o parte esențială a tratamentului.

Include:

  • kinetoterapie
  • fizioterapie
  • terapie ocupațională
  • suport psihologic

Recuperarea poate dura luni sau chiar ani.

 

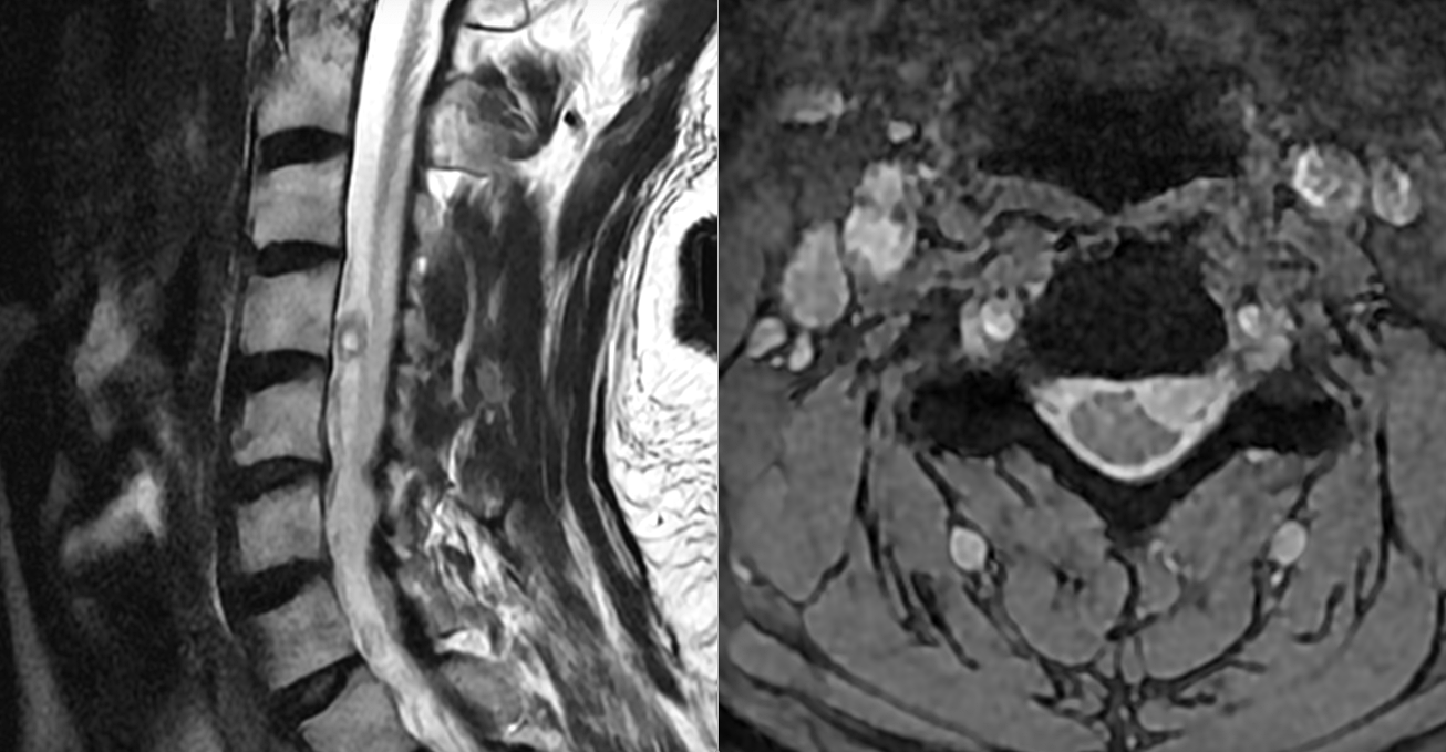
Meningiom spinal cervical C7-T1 – RMN preoperator

 

Prognosticul tumorilor medulare

Prognosticul depinde de:

  • tipul histologic al tumorii
  • gradul de rezecție
  • starea neurologică inițială
  • rapiditatea diagnosticului

Diagnosticul precoce crește semnificativ șansele de recuperare funcțională.

 

Meningiom spinal cervical C7-T1 – RMN postoperator

 

Viața cu o tumoră medulară

Mulți pacienți pot avea o viață activă după tratament, mai ales în cazul tumorilor benigne.
Este esențial:

  • control neurologic periodic
  • monitorizare imagistică
  • respectarea programului de recuperare

Lasă un mesaj

Adresa ta de email nu va fi publicată. Câmpurile obligatorii sunt marcate cu *

Categoriile principale

Cele mai recente articole

  • All Post
  • Blog
  • Cazuri
  • Glioame
  • Litera A
  • Litera C
  • Litera E
  • Litera G
  • Litera L
  • Litera M
  • Litera N
  • litera P
  • Litera S
  • Tipuri de tumori cerebrale
  • Tumorile cerebrale la copii

Înscrie-te la newsletter

Vrei să fii la curent cu cele mai noi tratamente și articole explicate clar?
Te-ai înscris Ops! Ceva nu a mers bine, reîncearcă te rog.

Ai primi un diagnostic de tumoară cerebrală? Aici găsești sprijinul, informațiile și direcția de care ai nevoie.

Address

Informații utile

Politică cookies

GDPR

Termeni & Condiții

© 2026 Creat de DIGITALLAND.RO