Ce este schwanomul vestibular?
Schwanomul vestibular, cunoscut și sub numele de neurinom acustic, este o tumoră benignă (non-canceroasă), care se dezvoltă din celulele Schwann. Aceste celule învelesc și protejează nervii, iar în cazul schwanomului vestibular, tumora apare pe nervul vestibulocohlear – nervul responsabil de auz și echilibru.
Acest nerv face legătura între urechea internă și creier. Tumora apare de obicei în canalul auditiv intern, dar pe măsură ce crește, poate ajunge să apese pe structuri din apropiere: trunchiul cerebral și cerebelul. Deși nu este o tumoră canceroasă, schwanomul vestibular poate duce la complicații serioase dacă nu este tratat, mai ales când ajunge la dimensiuni mari.

Cât de frecvent este?
Schwanomul vestibular nu este chiar o tumoră rară. Reprezintă aproximativ 6-8% dintre toate tumorile intracraniene și cam 20 % dintre tumorile infratentoriale (ale fosei craniene posterioare, unde sunt loclizate trunchiul cerebral și cerebelul). Poate apărea la orice vârstă, dar este mai frecvent diagnosticat între 30 și 60 de ani. Femeile sunt ușor mai predispuse decât bărbații.
Există și o formă ereditară, numită neurofibromatoză de tip 2 (NF-2), în care pot apărea tumori pe ambii nervi vestibulari, ceea ce duce la pierderea bilaterală a auzului. Boala se datorează existenței unei mutații la nivelul genei NF-2 de pe cromozomul 22 și se poate transmite descendenților, fiind autosomal dominantă. În afară de schwanoamele vestibulare bilaterale caracteristice, mai apar și alte tipuri de tumori ale sistemului nervos central: meningioame, ependimoame și schwanoame spinale, etc.
Care sunt cauzele?
Cauza exactă a apariției schwanomului vestibular nu este pe deplin înțeleasă. În majoritatea cazurilor, tumora apare sporadic (adică nu este moștenită). În forma ereditară, NF2, mutația unei gene numite NF2 duce la creșterea anormală a celulelor Schwann.
Important de știut: această tumoră nu este cauzată de utilizarea telefonului mobil, de traumatisme sau infecții ale urechii.

Simptomele schwanomului vestibular
Simptomele apar treptat, deoarece tumora crește lent. Cele mai frecvente sunt:
- Tinitus – zgomot sau țiuit în ureche – cea mai precoce manifestare.
- Scăderea progresivă a auzului – hipoacuzie – de obicei unilaterală (pe o singură parte),
- mergând până la pierderea completă. Rareori însă pierderea auzului se poate
- produce brusc, chiar și în cazul unei tumori mici.
- Probleme de echilibru – amețeli, instabilitate la mers.
- Senzația de „plin” în ureche.
- Dificultăți de concentrare sau oboseală accentuată.
Pe măsură ce tumora crește, poate apăsa și pe alți nervi cranieni, provocând:
- Amorțeli sau furnicături pe față (prin afectarea nervului trigemen).
- Slăbiciune facială (prin afectarea nervului facial).
- Tulburări de înghițire sau răgușeală, dacă sunt afectați nervii vag și glosofaringiani.
- În cazuri severe, poate apărea presiune pe trunchiul cerebral, cu tulburari de mers sau
- chiar hemipareză;
Simptome de hipertensiune intracraniană – cefalee, vărsături, alterarea stării de conștiență – în cazurile complicate cu hidrocefalie (afectarea circulației normale a lichidului cefalo-rahidian – LCR), ceea ce devine o urgență neurologică. De menționat că hidrocefalia poate apărea atât în cazul tumorilor foarte mari, care comprimă trunchiul cerebral și ventriculul IV dar și în cazul tumorilor mai mici, unde mecanismul de producere este modificarea compoziției LCR.

Cum se pune diagnosticul?
Diagnosticul de schwanom vestibular se face printr-o combinație de examinare clinică și investigații imagistice. Pașii sunt următorii:
Examen neurologic – poate decela modificări date de prezența tumorii.
Examen ORL – adesea pacienții ajung inițial la medicul ORL pentru scăderea auzului.
Audiograma – reprezintă o evaluare obiectivă și cuantificabilă a auzului. În schwanomul vestibular, se observă de obicei o scădere a auzului pe o singură parte, mai ales pentru frecvențele înalte.
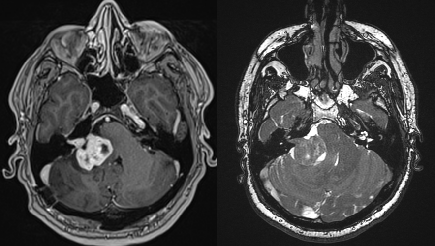
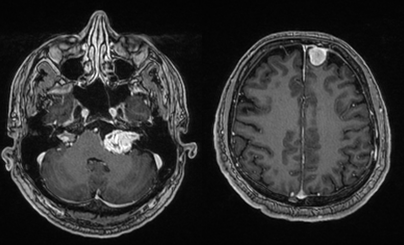
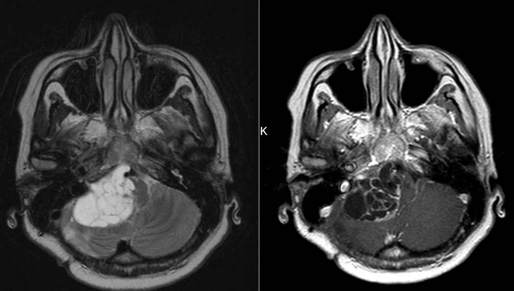
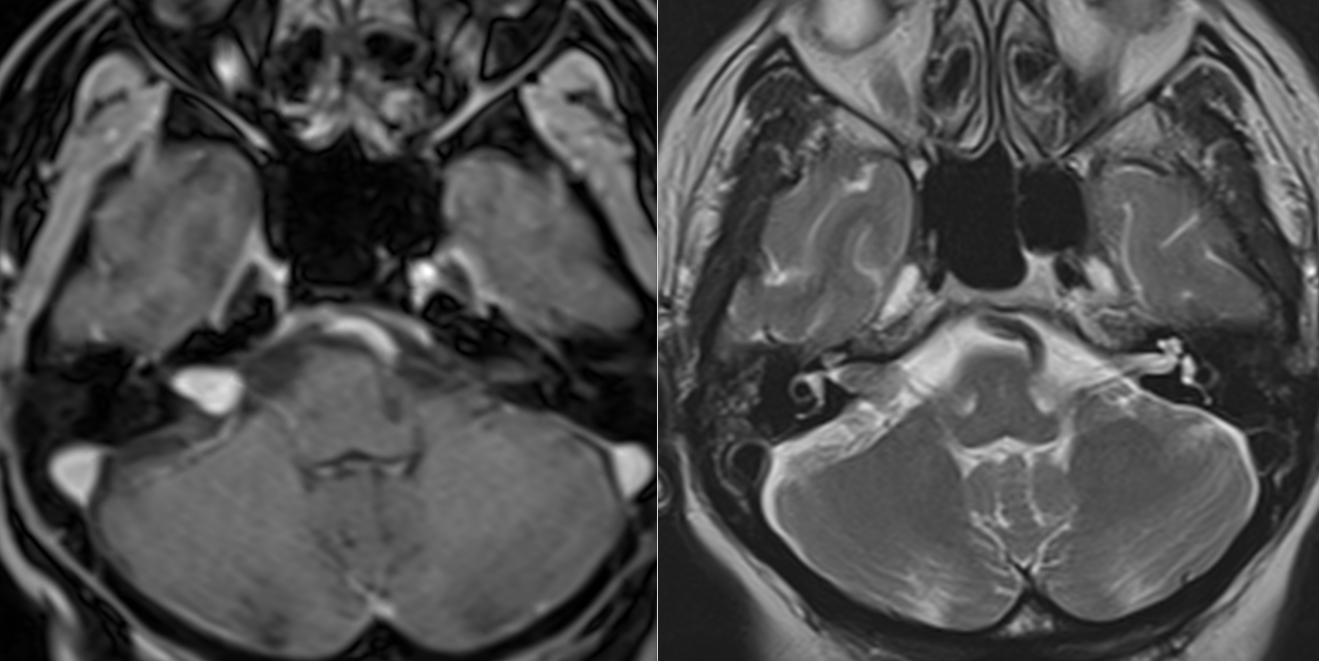
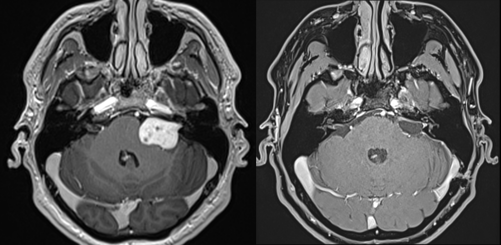
RMN cerebral cu substanță de contrast – Este cea mai precisă metodă pentru diagnostic. RMN-ul evidențiază tumora și arată dimensiunea și localizarea exactă precum și eventualele complicații (hidrocefalie). Pentru tumorile de mici dimensiuni există o secvență specială care vizualizează mai bine nervii cranieni (în funcție de tipul de aparat se poate numi CISS, TRUFI sau FIESTA).
În funcție de aspectul RMN există mai multe clasificări (mai bine zis stadializări) ale schwanoamelor vestibulare, majoritatea având în comun 4 grade:
– Grad I – intrameatal – strict în conductul auditiv intern
– Grad II – intra-extrameatal – tumoră care depășește porul acustic intern
– Grad III – cisternală – tumora se găsește și în spațiul dintre porul acustic și trunchiul cerebral (cisterna ponto-cerebeloasă)
– Grad IV – tumora comprimă trunchiul cerebral
Pe RMN, schwanomul vestibular apare ca o masă nodulară cu priză de contrast, bine delimitată, localizată în spațiul dintre stânca temporală și cerebel, cu origine în porul acustic intern.
Diagnosticul diferențial se face cu alte tumori care se pot dezvolta în această locație, în special meningioamele. Mai rar poate fi vorba și de un chist epidermoid, o determinare secundară sau o tumoră de glomus jugular. O situație aparte, deși rară, o constituie scwanoamele dezvoltate dina lți nervi cranieni – cel mai adesea nervul trigemen.

CT cerebral – Poate fi folosit în cazuri în care RMN-ul nu este disponibil sau este contraindicat. Este însă mai puțin sensibil și oferă mult mai puține detalii.
Tratamentul schwanomului vestibular
Tratamentul depinde de mai mulți factori:
* Dimensiunea tumorii
* Viteza de creștere
* Simptomele pacientului
* Vârsta și starea generală de sănătate
Urmărire (wait and see)
Pentru tumorile mici, asimptomatice sau cu simptome minime, mai ales la persoane în vârstă, se poate alege monitorizarea cu RMN anual sau la 6 luni. Uneori, tumorile nu cresc sau cresc foarte lent.
Tratament chirurgical
Este recomandat pentru tumorile mari sau în creștere, la persoanele tinere sau dacă simptomele sunt severe.
Există mai multe abordări chirurgicale:
Abordul translabirintic – preferat de medicii ORL, dar rar folosit, implică sacrificarea auzului, dar permite vizualizarea completă a nervului. Este mai util în cazul tumorilor mici, dezvoltate strict intrameatal.
Abordul retrosigmoidian – preferat de neurochirurgi, este cel mai folosit. Oferă posibilitatea de a păstra auzul (deși nu poate oferi garanții). Poate fi folosit pentru orice tip de schwanom vestibular dar este util în special pentru tumorile de dimensiuni medii și mari, cu dezvoltare în cisterna ponto-cerebeloasă sau cu compresiune pe trunchiul cerebral.
Abordul fosa mijlocie – foarte rar folosit, luat în considerare în trecut pentru tumori mici, cu conservarea auzului. Rezecția unui schwanom vestibular este de cele mai multe ori o intervenție de durată, laborioasă și care trebuie efectuată de un neurochirurg experimentat. Riscurile includ pierderea auzului, afectarea nervului facial (pareză facială) sau a altor nervi cranieni (cea mai invalidantă fiind afectarea nervilor vag și gloso-faringian, cu tulburări de deglutiție). Pentru minimizarea acestor riscuri se utilizează metode de monitorizare electrofiziologică a acestor nervi, cu rezultate bune însă doar pentru nervul facial. Cu toate acestea, mai ales în cazul tumorilor de mari dimensiuni, este de așteptat un grad de pareză facială imediat postoperator, care se va recupera ulterior.
Alte neplăceri temporare postoperatorii includ vertij, tulburări de echilibru, greață și cefalee.
Radioterapia stereotactică (Gamma Knife sau CyberKnife)
Este o opțiune minim invazivă, indicată pentru tumorile mici sau medii – de maxim 2 cm. Folosește raze gamma focalizate pentru a opri creșterea tumorii. Avantajele sunt lipsa unei incizii și o recuperare rapidă. Dezavantajele pot include apariția tardivă a pierderii auzului sau iritația nervilor. De asemenea, există tumori care nu răspund la radioterapie, continuându-și progresia. O complicație redutabilă, deși rară, o constituie și apariția unei tumori maligne de vecinătate datorată iradierii – cel mai adesea un meningiom.
Datorită ratei mai bune de prezervare a auzului, iradierea Gamma-knife este preferată mai ales la pacienții cu neurofibromatoză tip II.
Prognostic
Prognosticul pentru schwanomul vestibular este, în general, foarte bun. Fiind o tumoră benignă, nu invadează alte organe și nu metastazează.
Tumorile mici, tratate precoce, pot fi complet îndepărtate chirurgical cu risc redus. Tumorile medii sau mari necesită o echilibrare atentă între îndepărtarea completă și protejarea nervilor.
După radioterapie, majoritatea tumorilor se opresc din creștere.
Recuperarea depinde de metoda aleasă, de experiența echipei medicale și de dimensiunea tumorii. Formele ușoare sau medii de pareză facială postoperatorie se
recuperează cu kinetoterapie specifică, dar pentru formele severe, cu afectarea completă a nervului, pot fi necesare intervenții de chirurgie plastică reparatorie (transpoziții de nervi) sau oftalmologică (inserția de plăcuțe de aur la nivelul pleoapei).
Prognosticul pe termen lung este bun, cu recurență scăzută dacă tumora este complet îndepărtată. Monitorizarea prin RMN este recomandată periodic.




