De la neurocitomul central la gangliogliom – o categorie „blândă”, dar complexă a neuro-oncologiei
Introducere – între biologie și clinică
În practica neurochirurgicală, întâlnim frecvent tumori agresive, infiltrative, care modifică profund arhitectura cerebrală și viața pacientului. Există însă și o categorie diferită, mai discretă din punct de vedere biologic, dar nu mai puțin importantă clinic: tumorile neuronale și glioneuronale.
Aceste tumori ocupă un loc aparte în clasificarea modernă realizată de World Health Organization (OMS 2021), fiind definite prin prezența celulelor neuronale diferențiate, fie izolate, fie în combinație cu elemente gliale. Din această perspectivă, ele reflectă nu doar o patologie tumorală, ci și o anumită „eroare de diferențiere” în cadrul dezvoltării sistemului nervos.
Pentru pacient, acest lucru se traduce, de cele mai multe ori, printr-un avantaj: o evoluție lentă, o delimitare relativ bună și șanse mari de tratament curativ.
Originea acestor tumori – o perspectivă de dezvoltare
În timpul dezvoltării embrionare, sistemul nervos central derivă dintr-un rezervor de celule stem neurale, capabile să genereze atât neuroni, cât și celule gliale. Aceste celule multipotente sunt extrem de dinamice și migrează către diferite regiuni ale creierului în formare.
Tumorile glioneuronale par să provină din aceste celule „intermediare”, care păstrează capacitatea de diferențiere duală. De aceea, în aceeași tumoră putem observa:
- neuroni dismorfici, maturi sau aproape maturi
- celule gliale proliferative
În schimb, tumorile neuronale pure – precum neurocitomul central – reflectă o diferențiere predominant neuronală, sugerând o origine din precursori neuronali mai bine definiți.
Această diferență aparent subtilă are consecințe importante asupra imagisticii, comportamentului clinic și tratamentului.
Biologia moleculară – cheia clasificării moderne
În ultimii ani, clasificarea tumorilor cerebrale a evoluat dintr-un sistem bazat exclusiv pe morfologie către unul integrat, în care genetica joacă un rol central.
Tumorile neuronale și glioneuronale prezintă câteva particularități:
- BRAF V600E – frecvent în gangliogliom, asociat cu epilepsie și, uneori, cu risc de recidivă
- FGFR1 – implicat în DNET și alte tumori cu caracter disembrioplazic
- expresie intensă a markerilor neuronali (sinaptofizină, NeuN)
- absența markerilor IDH tipici glioamelor difuze
Aceste elemente permit o clasificare mai precisă și, în anumite situații, deschid calea către terapii țintite.
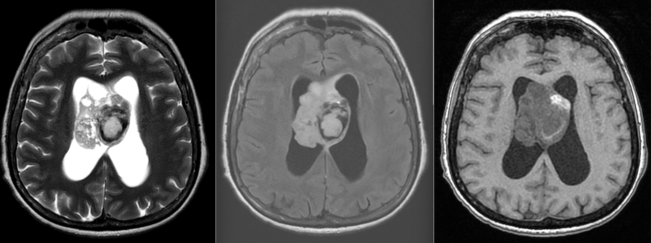
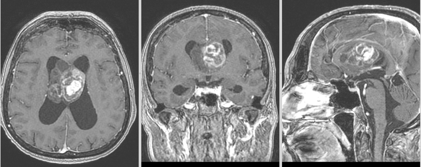
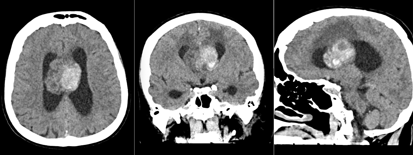
Neurocitomul central – tumoră neuronală pură
Neurocitomul central este o tumoră rară, dar extrem de caracteristică. Localizarea sa intraventriculară, în apropierea foramenului Monro, îl face recognoscibil atât imagistic, cât și intraoperator.

Context clinic
Pacienții sunt, în general, adulți tineri, fără antecedente neurologice semnificative. Simptomele apar insidios și sunt legate de obstrucția circulației lichidului cefalorahidian:
- cefalee progresivă
- greață și vărsături
- episoade de vedere încețoșată
- tulburări de memorie (prin afectarea fornixului)
Uneori, debutul poate fi brusc, în contextul unei hidrocefalii acute.
Imagistică – o tumoră „care se arată”
RMN-ul este, de cele mai multe ori, sugestiv:
- localizare intraventriculară, atașată de septul pellucid sau peretele ventricular
- aspect lobulat, uneori polilobat
- zone chistice și calcificări
- captare heterogenă de contrast

Pe CT, calcificările pot fi evidente și ajută la orientarea diagnosticului.

Histologie și imunohistochimie
La microscop, tumora este alcătuită din celule mici, uniforme, cu citoplasmă redusă și nuclei rotunzi. Rețeaua vasculară fină creează un aspect caracteristic.
Imunohistochimia confirmă diagnosticul:
- sinaptofizină pozitivă difuz
- NeuN pozitiv
- Ki-67 scăzut (de obicei <2–3%)
Tratament
Tratamentul este chirurgical, iar abordul necesită o strategie atentă:
- abord transcallosal – evită cortexul, dar implică disecție interhemisferică
- abord transcortical – mai direct, dar cu risc cortical
În ambele cazuri, obiectivul este rezecția completă, cu protejarea structurilor esențiale:
- fornix
- venele cerebrale interne
- septul pellucid
Utilizarea neuronavigației și, în anumite cazuri, a endoscopiei asistate poate crește siguranța intervenției.
Evoluție și prognostic
Neurocitomul central este, în majoritatea cazurilor, o tumoră de grad scăzut, cu prognostic excelent:
- supraviețuire pe termen lung foarte bună
- recidive rare după rezecție completă
- radioterapia rezervată cazurilor subtotale
Gangliogliomul – intersecția dintre tumoră și epilepsie
Gangliogliomul este una dintre cele mai frecvente tumori glioneuronale și are o particularitate esențială: este strâns legat de epilepsie.

Context clinic
Pacienții sunt adesea tineri care trăiesc ani de zile cu crize epileptice. Aceste crize pot deveni rezistente la tratament medicamentos, moment în care investigațiile imagistice relevă leziunea.
Localizarea tipică este în lobul temporal, dar poate apărea oriunde în cortex.

Imagistică
Aspectul RMN este variabil, dar frecvent include:
- leziune cortico-subcorticală
- componentă chistică + nodul mural
- captare de contrast inegală
- uneori calcificări

Este importantă corelarea cu EEG-ul pentru identificarea zonei epileptogene.
Histologie
Gangliogliomul este o tumoră „duală”:
- neuroni dismorfici, uneori bizari
- componentă glială (astrocytică sau mixtă)
Această combinație definește tumora.
Tratament
În cazul gangliogliomului, chirurgia nu înseamnă doar excizia tumorii, ci și tratamentul epilepsiei:
- rezecții extinse (lesionectomie + cortex epileptogen)
- mapping cortical în zonele funcționale
- monitorizare neurofiziologică
Rezultatele sunt excelente, cu rate mari de control al crizelor.

Prognostic
- în general OMS grad I
- evoluție lentă
- rar transformare malignă
DNET – o tumoră a dezvoltării cerebrale
DNET este o tumoră aparte, considerată de mulți ca fiind o leziune disembrioplazică, mai degrabă decât o tumoră clasică.

Clinic
- debut precoce al epilepsiei
- evoluție stabilă în timp
Imagistică
- aspect „bubbly” (multinodular)
- fără edem
- efect de masă minim

Tratament
Rezecția chirurgicală este curativă în majoritatea cazurilor.
Diferențe fundamentale – dincolo de etichete
Deși sunt grupate împreună, aceste tumori au identități distincte:
- neurocitomul central → tumoră neuronală intraventriculară
- gangliogliomul → tumoră corticală epileptogenă
- DNET → leziune de dezvoltare, epileptogenă
Această diferențiere este esențială pentru alegerea tratamentului.
Rolul neurochirurgiei moderne
Chirurgia acestor tumori a evoluat semnificativ:
- neuronavigație
- RMN intraoperator (în centre avansate)
- monitorizare neurofiziologică
- chirurgie epileptică dedicată
Scopul nu mai este doar supraviețuirea, ci funcționalitatea și calitatea vieții.
Prognostic – o zonă de optimism în neuro-oncologie
Majoritatea tumorilor neuronale și glioneuronale:
- sunt de grad scăzut
- cresc lent
- sunt tratabile chirurgical
Pentru pacient, acest lucru înseamnă o șansă reală la vindecare sau control pe termen lung.
Mesaj final pentru pacienți
Diagnosticul unei tumori cerebrale este, inevitabil, un moment dificil. Dar în cazul tumorilor neuronale și glioneuronale, există un aspect esențial: aceste tumori sunt, în majoritatea cazurilor, tratabile și controlabile.
În multe situații, intervenția chirurgicală nu doar îndepărtează tumora, ci redă pacientului o viață normală – fără durere, fără presiune intracraniană, fără crize epileptice.
Concluzie
Tumorile neuronale și glioneuronale reflectă complexitatea extraordinară a creierului. Ele se situează la granița dintre dezvoltare și neoplazie, între biologie moleculară și neurochirurgie funcțională.
Înțelegerea lor corectă permite nu doar un diagnostic precis, ci și un tratament eficient, personalizat, orientat către ceea ce contează cu adevărat: viața pacientului.




