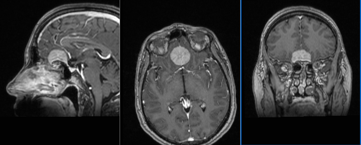
Cazul de astăzi este o pacientă relativ tânără, în vârstă de 50 ani, în activitate, diagnosticată cu o tumoră de bază de craniu – etaj anterior, cu evoluție progresivă: de la 2 cm diametru în 2019 la 3 cm diametru în februarie 2023.

Tumora era bine delimitată, cu priză omogenă de contrast, și are origine din dura mater (foița externă a meningelui) de la nivelul șanțurilor olfactive – porțiunea din baza craniului pe unde trec nervii olfactivi. Aspectul RMN sugerează un diagnostic histopatologic de meningiom – tumoră benignă (în peste 95% din cazuri) .
De altfel, singurul simptom specific legat de localizarea tumorii era afectarea semnificativă a acuității olfactive.
Intervenția chirurgicală este cea mai bună soluție în asemenea situații, pentru că, deși benignă, tumora va continua să crească și va începe să determine și alte manifestări neurologice (crize comițiale, afectare vizuală, declin cognitiv – demență, etc.). De asemenea, cu cât tumor este mai mare, cu atât mai lungă și dificilă va fi operația, în timp ce pacientul va fi mai vârstnic și, posibil, cu mai multe suferințe cronice asociate. Un aspect care merită menționat este că portiunea posterioară a tumorii ajunge în apropierea celor doi nervi optici, fără a-i comprima (încă!).
Intervenția chirurgicală s-a desfășurat sub anestezie generală, folosind tot arsenalul de aparatură medicală neurochirurgicală: neuronavigație, microscop operator, disector ultrasonic, instrumentar microchirurgical, etc. Abordul a fost printr-un volet pterional minim-invaziv drept (de partea emisferului nedominant), fără a rade părul (doar o cărare îngustă de-a lungul inciziei) și fără a utiliza retractoare cerebrale fixe, care pot produce leziuni ale creierului. Pentru că accesul latumoră se face pe sub lobul frontal, de maximă importanță în aceste operații este o bună anestezie care să asigure relaxare creierului și scăderea presiunii intracraniene.
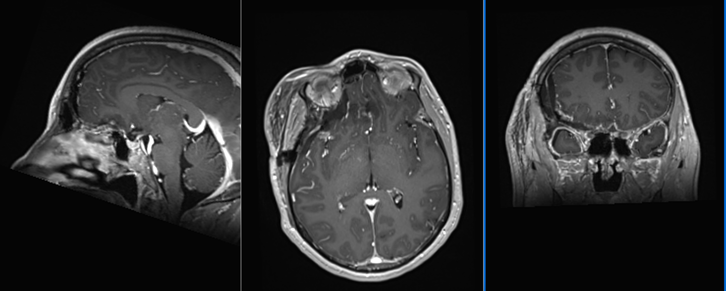
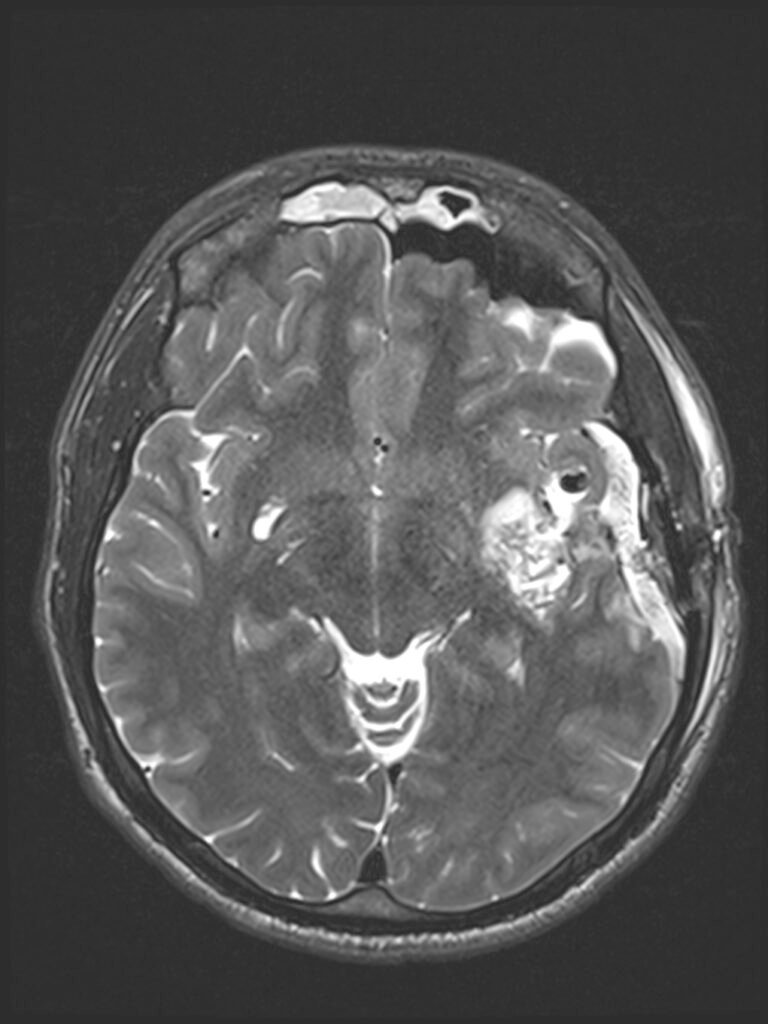
Operația a durat aproximativ 3 h și si-a atins scopurile în totalitate – rezecția completă a tumorii cu coagularea zonei de inserție meningeală și păstrarea integrității structurilor cerebrale normale, inclusiv a celor doi nervi olfactivi, care erau doar deplasați de tumoră, nu invadați.
Evoluția postoperatorie a fost favorabilă, permițând mobilizarea precoce, a doua zi postoperator. A existat o previzibilă tumefiere a regiunii temporale drepte, normală în asemenea situații, care s-a remis in cea mai mare parte la 72 h postoperator.

RMN cerebral de control efectuat a doua zi după operație confirmă rezecția completă a tumorii și absența oricăror complicații.
Rezultatul examenului histopatologic a confirmat natura benignă a tumorii – meningiom grad I WHO, ceea ce înseamnă că pacienta este vindecată, nemaifiind necesare alte terapii, doar urmărire prin RMN periodic.



