
Ce este măduva spinării și de ce este importantă Măduva spinării este o structură nervoasă esențială, situată în interiorul canalului...
Ai primit un diagnostic de tumoră cerebrală? Aici găsești sprijinul, informațiile și direcțiile de care ai nevoie pentru a merge mai departe.
Am creat acest site dintr-o nevoie reală: aceea de a pune la dispoziția pacienților și aparținătorilor informații medicale clare, verificate și accesibile.
Pentru că știm cât de greu este momentul primirii diagnosticului și cât de confuză poate fi căutarea soluțiilor corecte.
Chiar și pentru cele mai agresive tumori, există tratamente care pot salva vieți sau pot câștiga timp valoros. În peste 20 de ani de practică medicală, am întâlnit foarte puține tumori cu adevărat „inoperabile”.
„Poate nu întotdeauna putem vindeca, dar întotdeauna putem ajuta.”

Ce este măduva spinării și de ce este importantă Măduva spinării este o structură nervoasă esențială, situată în interiorul canalului...

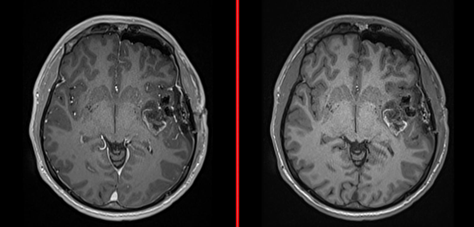
Tumorile glioneuronale sunt neoplasme rare ale sistemului nervos central (SNC), care combină elemente neuronale și gliale în proporții variabile. Aceste...

Aici urmeaza raspunsurile la toate intrebarile.
Aici urmeaza raspunsurile la toate intrebarile.
Aici urmeaza raspunsurile la toate intrebarile.
Aici urmeaza raspunsurile la toate intrebarile.
Aici urmeaza raspunsurile la toate intrebarile.
Aici urmeaza raspunsurile la toate intrebarile.
Aici urmeaza raspunsurile la toate intrebarile.
Aici urmeaza raspunsurile la toate intrebarile.
Aici urmeaza raspunsurile la toate intrebarile.
Aici urmeaza raspunsurile la toate intrebarile.
Aici urmeaza raspunsurile la toate intrebarile.
Aici urmeaza raspunsurile la toate intrebarile.
Aici urmeaza raspunsurile la toate intrebarile.
Aici urmeaza raspunsurile la toate intrebarile.
Aici urmeaza raspunsurile la toate intrebarile.
Aici urmeaza raspunsurile la toate intrebarile.
Aici urmeaza raspunsurile la toate intrebarile.
Aici urmeaza raspunsurile la toate intrebarile.
Aici urmeaza raspunsurile la toate intrebarile.
Aici urmeaza raspunsurile la toate intrebarile.
Ai primi un diagnostic de tumoară cerebrală? Aici găsești sprijinul, informațiile și direcția de care ai nevoie.
© 2025 Creat de DIGITALLAND.RO