Meningiom de foramen magnum descoperit pur întâmplător
Este vorba despre o doamnă de 56 ani care a efectuat un RMN cerebral pentru a investiga un episod de pierdere a conștienței (care s-a dovedit a fi doar o lipotimie) și a descoperit că este purtătoarea unui meningiom de foramen magnum.
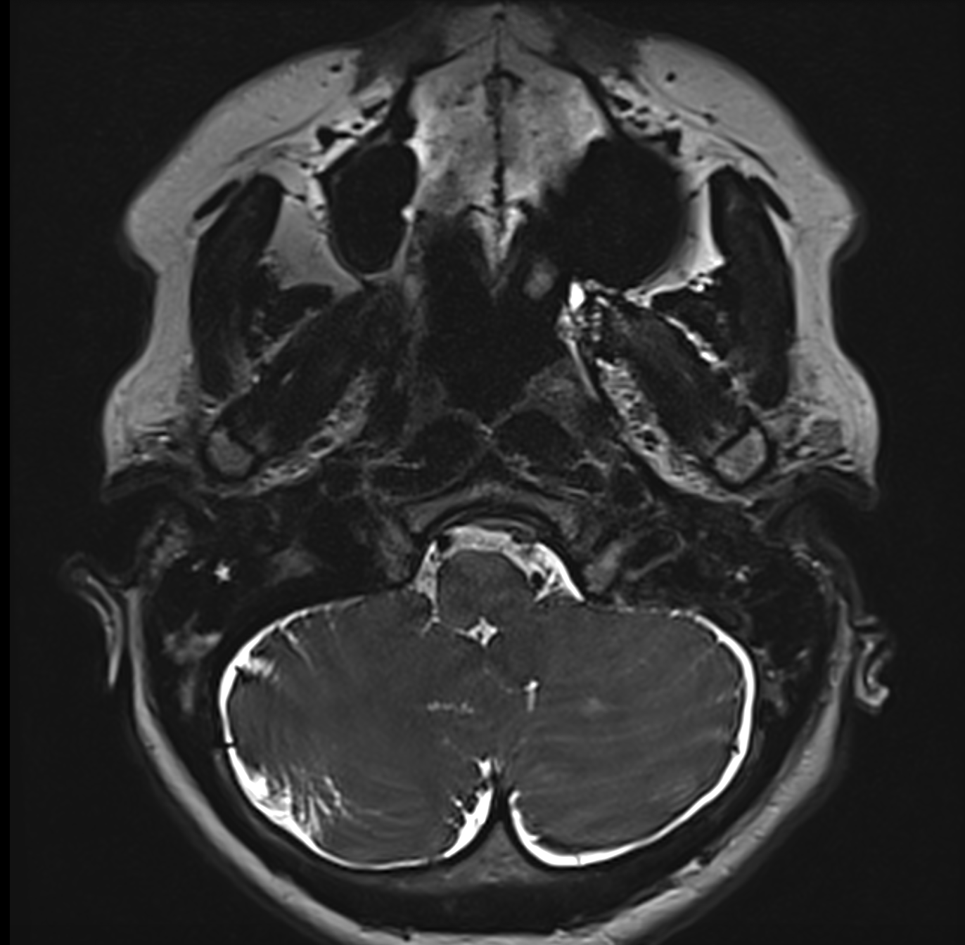
Tumora are baza de inserție largă pe dura mater antero-laterală stângă a joncțiunii cranio-spinale (foramen magnum) – antero-lateral stânga de trunchiul cerebral – este parțial calcificată, are dimensiuni de 36/29/31 mm și înglobează artera vertebrală stângă; la polul inferior este în contact cu nervul hipoglos (nervul cranian XII, care asigură inervația motorie a limbii); nervul spinal accesor (nervul cranian XI), care deservește mușchii trapez și sterno-cleido-mastoidian, trece pe fața posterioară a tumorii, iar nervii vag și hipoglos (nervii cranieni IX și X, care acționează mușchii laringelui și ai faringelui, esențiali pentru fonație și deglutiție) se află la polul superior al tumorii. Toate aceste contacte cu vase și nervi fac extrem de delicată intervenția chirurgicală, orice gest greșit putând avea consecințe grave pentru pacient. pe de altă parte, chiar dacă (bănuim) este vorba de o tumoră benignă, ea va crește în dimensiuni și va ajunge să înglobeze complet vasele de sânge și nervii din jur, punând presiune și pe trunchiul cerebral. În asemenea cazuri, cu cât faci operația mai repede, cu atât este mai bine pentru pacient (și pentru chirurg).
Operația a durat circa 6 ore, pacienta fiind sub anestezie generală și monitorizare electrofiziologică. A fost o intervenție migăloasă, fiecare nerv sau vas de sânge trebuind să fie detașat de tumoră cu răbdare și atenție la cele mai mici detalii. De remarcat consistenta destul de tare a tumorii, cu multiple zone calcificate, care, desi nu sângerează ușor, sunt greu de rezecat. Cea mai delicată parte a fost detașarea arterei vertebrale, dat fiind riscul major de sangerare masivă.
Operația a durat circa 6 ore, pacienta fiind sub anestezie generală și monitorizare electrofiziologică. A fost o intervenție migăloasă, fiecare nerv sau vas de sânge trebuind să fie detașat de tumoră cu răbdare și atenție la cele mai mici detalii. De remarcat consistenta destul de tare a tumorii, cu multiple zone calcificate, care, desi nu sângerează ușor, sunt greu de rezecat. Cea mai delicată parte a fost detașarea arterei vertebrale, dat fiind riscul major de sangerare masivă.
În final, am reușit să rezecăm tumora în totalitate, rămânând doar baza ei de inserție pe dura mater, care a fost minuțios coagulată, pentru a distruge ultimele resturi de celule tumorale. Pacienta a evoluat foarte bine, acuzând doar dureri locale moderate si un grad de pareză de nervi cranieni XI (mușchiul trapez stâng, care s-au recuperat in cea mai mare parte sub kinetoterapie) și XII (jumătatea stângă a limbii, fără impact de durată asupra vorbirii sau a masticației). Întotdeauna efectuăm un RMN cerebral de control a doua zi după operație, care, in cazul de față, a arătat absența complicațiilor postoperatorii sau a oricărui reziduu tumoral, fapt confirmat și prin RMN cerebral de control la 6 luni. Diagnosticul histopatologic a fost de asemenea favorabil – meningiom grad I, tumora benignă, fără risc de malignizare. Vom mai urmări pacienta prin RMN cerebral periodic dar putem considera că operația a fost un succes iar pacienta vindecată. Dată fiind localizarea acestor tumori, la joncțiunea trunchiului cerebral cu măduva spinării, tratamentul chirurgical este deosebit de provocator și, de multe ori, grevat de complicații majore. La spitalul Nord beneficiem însă de o experiență vastă neurochirurgicală, neurologică, anestezică și radiologică, precum și de ultimele modele de aparatură și instrumentar chirurgical, astfel incât putem aborda în deplină siguranță chiar și cele mai dificile cazuri neurochirurgicale.



