
Ce sunt metastazele cerebrale? Metastazele cerebrale reprezintă cele mai frecvente tumori maligne ale sistemului nervos central. Acestea nu apar din...

Ce sunt metastazele cerebrale? Metastazele cerebrale reprezintă cele mai frecvente tumori maligne ale sistemului nervos central. Acestea nu apar din...

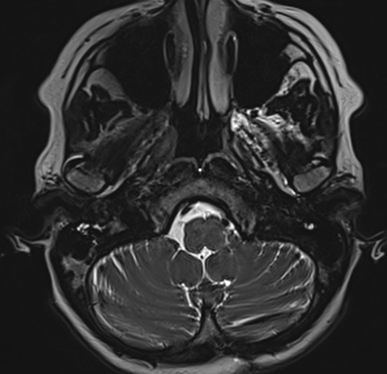
Ce este schwanomul vestibular? Schwanomul vestibular, cunoscut și sub numele de neurinom acustic, este o tumoră benignă (non-canceroasă), care se...

Meningioamele sunt tumori care se dezvoltă din celulele meningoteliale ale arahnoidei, unul dintre cele trei straturi meningeale care învelesc creierul...

1. Definiție și clasificare Astrocitomul anaplazic este o tumoră cerebrală malignă, clasificată drept grad III de malignitate conform sistemului Organizației...

Glioamele de grad mic sunt tumori cerebrale primare care provin din celulele gliale – celulele de susținere ale sistemului nervos...

Despre Glioblastom Glioblastomul este o tumoră cerebrală malignă, cea mai des întâlnită și cea mai agresivă dintre toate. Ea nu...

Meningiom de foramen magnum descoperit pur întâmplător Este vorba despre o doamnă de 56 ani care a efectuat un RMN...

Pacientă în vârstă de 54 ani, cu un istoric îndelungat de neoplasm mamar, care acuză scăderea forței musculare în membrul...
Ai primi un diagnostic de tumoară cerebrală? Aici găsești sprijinul, informațiile și direcția de care ai nevoie.
© 2025 Creat de DIGITALLAND.RO